As malformações congênitas do sistema nervoso central (SNC) configuram uma relevante causa de morbidade e mortalidade na população pediátrica, representando um desafio significativo para a saúde infantil.
Essas anomalias abrangem uma variedade de alterações morfológicas cerebrais, desde defeitos do tubo neural até desordens de origem genética, infecciosa ou ambiental.
Nesse contexto, o diagnóstico precoce por meio de métodos de imagem, como o ultrassom transfontanelar, assume papel fundamental na identificação de malformações do SNC ainda no período neonatal, possibilitando intervenções clínicas e acompanhamento adequados.
Indicações do ultrassom transfontanelar
O ultrassom transfontanelar é especialmente indicado para investigar ou descartar hemorragias intracranianas em recém-nascidos prematuros.
Além disso, esse exame é útil no monitoramento de complicações decorrentes da hemorragia intraventricular, permitindo a identificação de possíveis sinais evolutivos de isquemia.
Ademais, suas aplicações estendem-se ainda à avaliação de malformações congênitas do sistema nervoso central, à detecção de alterações vasculares intracranianas e à sua utilização como método inicial de triagem para excluir alterações macroscópicas no encéfalo.
Vantagens do ultrassom transfontanelar
O ultrassom transfontanelar oferece diversas vantagens, entre elas a possibilidade de responder a questões clínicas específicas de forma rápida e eficaz.
Além disso, sua portabilidade permite que o exame seja realizado à beira do leito, evitando o transporte do recém-nascido a outros setores, o que é especialmente benéfico em unidades de terapia intensiva neonatal.
Além disso, a presença de uma fontanela anterior ampla possibilita a obtenção de imagens detalhadas do sistema nervoso central, tornando o método valioso para o diagnóstico e acompanhamento de diversas condições neurológicas.
Saiba mais sobre “Ultrassonografia transfontanelar: o que é, importância e aplicações na pediatria”.
Limitações do ultrassom transfontanelar
Embora seja um exame de grande utilidade clínica, o ultrassom transfontanelar possui algumas limitações.
Por exemplo, sua acurácia diagnóstica pode ser comprometida em casos de ossificação precoce das fontanelas, presença de artefatos acústicos, ou má qualidade da imagem decorrente de movimentação do paciente.
Além disso, malformações pequenas ou localizadas em regiões de difícil acesso (como a fossa posterior e o tronco encefálico) podem não ser completamente avaliadas.
Ademais, a acurácia e confiabilidade do exame dependem diretamente da experiência e capacitação do profissional que o realiza. Por isso, é imprescindível que médicos radiologistas e neonatologistas recebam treinamento específico, com ênfase na anatomia cerebral neonatal, nos planos de imagem padronizados e na interpretação de achados normais e patológicos.
Protocolos e técnicas de aquisição de imagens
Para garantir a qualidade diagnóstica e a segurança do paciente, é indispensável seguir protocolos bem estabelecidos e técnicas padronizadas de aquisição de imagens.
Esses protocolos abrangem desde o preparo do ambiente e do equipamento até a correta escolha dos planos de imagem e uso de modos avançados como o Doppler.
A padronização desses passos permite não apenas a obtenção de imagens consistentes e comparáveis, mas também aumenta a sensibilidade na detecção de alterações estruturais e vasculares cerebrais, contribuindo diretamente para a condução clínica e o prognóstico do recém-nascido.
Preparação do exame
Antes de iniciar o ultrassom transfontanelar, é essencial garantir que o recém-nascido permaneça dentro da incubadora, preferencialmente realizando o exame pela abertura cranial.
Deve-se também evitar movimentações e variações de temperatura com especial cuidado para não pressionar a fontanela anterior, principalmente em prematuros críticos. Além disso, todas as medidas assépticas devem seguir os protocolos da UTI neonatal.
Equipamento utilizado
Utiliza-se predominantemente transdutor phased array de 5 a 8 MHz. Para estruturas superficiais, sondas lineares de alta frequência podem ser indicadas.
Transdutores de pequeno porte com amplo ângulo de insonação (até 140°) são recomendados para obter imagens diagnósticas, mesmo em casos de fontanelas pequenas.
Técnica de aquisição de imagens
A neurossonografia começa com imagens em escala de cinza obtidas pela fontanela anterior nos planos coronal e sagital.
No plano coronal, geralmente obtêm-se de seis a oito imagens, cobrindo dos lobos frontais até os occipitais. Em seguida, rotaciona-se o transdutor 90° para capturar cinco imagens sagitais, incluindo a linha média e as regiões parasagitais de ambos os hemisférios.
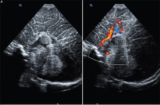
Além disso, utiliza-se imagens com Doppler colorido e espectral para avaliar estruturas vasculares, como o círculo de Willis e a veia de Galeno.
Abordagens alternativas pelas fontanelas posteriores ou pela região mastoide
Abordagens pela mastoide e fontanela posterior ajudam na detecção de hemorragias da fossa posterior, alterações no tronco encefálico e cerebelo, além de auxiliar na avaliação de malformações.
Dessa forma, o uso de transdutor linear de alta resolução permite o estudo detalhado do espaço subaracnoide, córtex superficial e estruturas profundas.
Interpretação ultrassonográfica
No ultrassom, o líquido cefalorraquidiano aparece anecoico, enquanto o plexo coroide, hemorragias e infartos são hiperecoicos. Além disso, a substância cinzenta é hipoecoica e a branca, hiperecoica. O cérebro normal é geralmente simétrico, o que facilita a identificação de lesões focais.
Portanto, alterações nas camadas corticais ou na ecogenicidade da substância branca periventricular, como heterogeneidade ou assimetria, podem indicar patologias como leucomalácia periventricular.
Malformações congênitas do SNC detectáveis por ultrassom transfontanelar
A ultrassonografia transfontanelar permite a identificação precoce de malformações congênitas do SNC tanto em recém-nascidos prematuros quanto em termo. Isso porque estruturas cerebrais essenciais são bem visualizadas nesse método, o que possibilita uma avaliação inicial confiável de anomalias.
Hidrocefalia
Entre as alterações mais comumente detectadas está a hidrocefalia, cuja presença pode ser diagnosticada e acompanhada com facilidade. Nesse contexto, o ultrassom permite:
- Medir a gravidade da dilatação ventricular;
- Localizar possíveis pontos de obstrução;
- Avaliar a espessura do manto cortical.
Emprega-se medições específicas, como as razões biventricular e bifrontal no nível do forame de Monro, como parâmetros objetivos para o seguimento da hidrocefalia.
Além disso, identifica-se ventrículos amplamente dilatados em condições como:
- Estenose do aqueduto de Sylvius;
- Agenesia do corpo caloso associada à presença de cisto na linha média;
- Hidranencefalia.
Ademais, é fundamental diferenciar a hidrocefalia obstrutiva da não obstrutiva, uma vez que a forma obstrutiva frequentemente exige intervenção neurocirúrgica imediata.
Embora o extravasamento de líquido pelo parênquima cerebral não seja sempre visível nas fases iniciais de obstrução, o acompanhamento seriado do tamanho dos ventrículos por ultrassom é útil para distinguir formas progressivas de hidrocefalia daquelas que permanecem estáveis ao longo do tempo.
Por fim, apesar de a hidranencefalia e hidrocefalia grave possam ser facilmente identificadas, a diferenciação entre essas condições não é completamente confiável apenas com ultrassonografia.
Agenesia do corpo caloso
Nos casos de agenesia do corpo caloso, a artéria cerebral anterior pode apresentar um padrão característico, descrito como “sunburst”, visível com precisão nos exames em escala de cinza e Doppler.
Além disso, o ultrassom pode revelar condições associadas, como colpocefalia e outras anomalias na fossa posterior.
Cérebro atrófico displásico
É possível observar o cérebro atrófico displásico, que se caracteriza por apresentar tamanho reduzido e ecogenicidade aumentada, sem diferenciação entre a substância cinzenta e a branca, além de cistos de diferentes tamanhos, geralmente assimétricos.
Outras malformações congênitas do SNC
Outras malformações congênitas do SNC identificáveis por ultrassom incluem:
- Síndrome de Dandy-Walker;
- Malformação de Arnold-Chiari;
- Malformações vasculares.
Outrossim, a ultrassom transfontanelar também permite a avaliação do edema cerebral e o diagnóstico de outras condições, como grandes cefaloceles, cistos dermoides e cefaloma.
Conheça o Curso de Ultrassonografia Transfontanelar do Cetrus
A ultrassonografia transfontanelar é a chave para o diagnóstico eficaz de malformações congênitas do sistema nervoso central em neonatos.
No curso do Cetrus, você aprenderá a utilizar essa técnica fundamental para identificar condições neurológicas em recém-nascidos, proporcionando um atendimento de alta qualidade e segurança.
Referências
- BATH, V.; BATH, V. Neurossonografia neonatal: um ensaio pictórico. Imagem radiológica indiana J. 2014.
- ĆATIBUŠIĆ, F. H. et al. Malformações congênitas do Sistema Nervoso Central: abordagem clínica. Bosn J Ciência Médica Básica. 2008.
- DUTRA, L. P. Características clínicas e epidemiológicas das malformações congênitas do sistema nervoso central em recém-nascidos. Fisioter Bras 2017.






