Diagnóstico por imagem da mama: tudo o que você precisa saber para sua prática clínica!
Os métodos de diagnóstico por imagem da mama desempenham um papel importante na detecção precoce de lesões e na caracterização de patologias mamárias.
A evolução tecnológica tem permitido não apenas identificar anormalidades em estágios iniciais, mas também compreender melhor a natureza dessas alterações, contribuindo para um manejo mais eficaz das pacientes.
Importância dos métodos de imagem na detecção precoce
A detecção precoce do câncer de mama é um dos fatores determinantes para o sucesso do tratamento. Exames de imagem, como a mamografia, a ultrassonografia e a ressonância magnética (RM), desempenham um papel essencial nesse processo. Eles permitem a identificação de lesões em estágios subclínicos, muitas vezes antes de se tornarem palpáveis, reduzindo a mortalidade associada à doença.
Além disso, esses métodos auxiliam na caracterização de lesões, diferenciando alterações benignas de malignas e direcionando condutas terapêuticas. A escolha do exame ideal depende de diversos fatores, incluindo a:
- Idade da paciente
- Composição mamária
- Histórico clínico.
Mamografia digital e tomossíntese: ferramentas no rastreamento e diagnóstico inicial
A mamografia digital é amplamente reconhecida como o exame de escolha para o rastreamento do câncer de mama no Brasil. Ela utiliza baixa dose de radiação para capturar imagens detalhadas das estruturas internas da mama, sendo especialmente eficaz na detecção de microcalcificações – um dos primeiros sinais de câncer. Sua principal indicação é para mulheres acima de 40 anos, embora em casos de alto risco genético ou histórico familiar, possa ser iniciada em idades mais precoces.
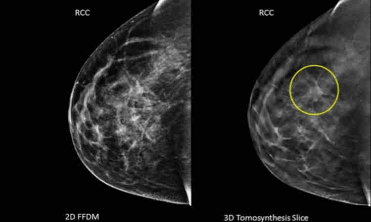
A tomossíntese, também chamada de mamografia tridimensional, é uma tecnologia avançada que complementa a mamografia convencional. Enquanto a mamografia captura imagens bidimensionais, a tomossíntese oferece cortes milimétricos que proporcionam uma visualização em 3D, reduzindo a sobreposição de tecidos. Isso é especialmente relevante em mulheres com mamas densas, onde a sensibilidade da mamografia tradicional pode ser limitada.
Um estudo coordenado por 13 hospitais universitários dos Estados Unidos publicado no “Journal of the American Medical Association” (JAMA) observou que a tomossíntese mamária, combinada a outros exames, houve um aumento de 41% na detecção de casos de câncer mais agressivos. A tecnologia de imagem 3D (à direita) possibilitou a identificação de um tumor que o método convencional não conseguiu detectar.
Indicações e parâmetros técnicos
A mamografia e a tomossíntese são indicadas tanto no rastreamento quanto no diagnóstico inicial de lesões suspeitas. Os parâmetros técnicos incluem o uso de baixa dose de radiação, garantindo segurança para as pacientes. A tomossíntese, em particular, utiliza cortes de 1 mm para uma análise detalhada.
Ultrassonografia: diferenciação de lesões e aplicações em mamas densas
A ultrassonografia (US) é uma ferramenta complementar essencial na avaliação mamária, especialmente em mulheres com mamas densas, onde a sensibilidade da mamografia pode ser reduzida.
Diferente da mamografia, que utiliza radiação, a US emprega ondas sonoras para gerar imagens das estruturas mamárias, sendo particularmente eficaz na diferenciação entre nódulos sólidos e císticos.
Indicações clínicas
- Avaliação de nódulos palpáveis ou identificados em outros exames.
- Complemento à mamografia em mamas densas.
- Exame de escolha para pacientes jovens ou grávidas, devido à ausência de radiação.
- Guia para procedimentos intervencionistas, como biópsias ou drenagens.
A US também é integrada ao sistema BI-RADS, uma classificação padrão para descrever achados em exames de imagem. Para mais informações sobre essa classificação, confira este artigo sobre ultrassom de mama e BI-RADS.
Avanços tecnológicos: elastografia
Uma inovação na ultrassonografia mamária é a elastografia, técnica que mede a elasticidade dos tecidos mamários. Lesões malignas tendem a ser mais rígidas, enquanto alterações benignas apresentam maior elasticidade. Esse recurso aumenta a precisão diagnóstica e reduz a necessidade de biópsias desnecessárias.
Ressonância magnética: avaliação de alto risco e estadiamento do câncer de mama
A ressonância magnética (RM) da mama é o exame mais sensível disponível atualmente, indicado para situações específicas que demandam uma análise mais detalhada. Utilizando campos magnéticos e ondas de rádio, ela produz imagens de alta resolução das mamas, permitindo a identificação de lesões que podem passar despercebidas em outros exames.
Indicações da RM mamária
- Rastreamento em pacientes de alto risco (mutação BRCA1/BRCA2 ou história familiar significativa)
- Avaliação da extensão do câncer de mama, especialmente em tumores multifocais ou multicêntricos
- Estadiamento pré-operatório, auxiliando no planejamento cirúrgico
- Monitoramento da resposta à quimioterapia neoadjuvante
- Investigação de alterações em implantes mamários, como rupturas.
A RM é particularmente útil no estadiamento do câncer de mama, fornecendo informações detalhadas sobre a extensão tumoral e a presença de metástases regionais. Para explorar mais sobre o estadiamento e o sistema TNM, confira este artigo sobre ferramentas de imagem para estadiamento do câncer de mama.
Tecnologia e uso de contraste
A utilização de gadolínio como contraste aumenta a sensibilidade da RM, destacando áreas de vascularização anormal associadas a tumores malignos. No entanto, a escolha do contraste deve considerar fatores como alergias e função renal da paciente.
Critérios de escolha de exames: personalização para melhor cuidado
A escolha do exame de imagem mais adequado para avaliação mamária exige uma abordagem individualizada, levando em consideração diversos fatores clínicos e pessoais. Entre esses fatores estão a idade da paciente, densidade mamária, histórico familiar de doenças, presença de mutações genéticas associadas ao câncer de mama, e o estágio da doença.
Com a crescente disponibilidade de métodos avançados, como mamografia digital com tomossíntese, ultrassonografia e ressonância magnética, é possível personalizar o rastreamento e o diagnóstico, maximizando a eficácia e minimizando riscos.
Fatores de risco e rastreamento personalizado
Um dos aspectos mais importantes na escolha do método de imagem é a presença de fatores de risco específicos para o câncer de mama. Mulheres com histórico familiar significativo, especialmente aquelas com parentes de primeiro grau diagnosticados com câncer de mama ou ovário, estão em maior risco. Da mesma forma, portadoras de mutações genéticas nos genes BRCA1 ou BRCA2 requerem uma abordagem diferenciada.
O papel da ressonância magnética em pacientes de alto risco
A ressonância magnética é a ferramenta de escolha para mulheres de alto risco devido à sua alta sensibilidade na detecção de lesões precoces.
Recomenda-se que pacientes com mutações genéticas ou histórico familiar significativo realizem rastreamento anual com RM, muitas vezes combinada à mamografia. Esse protocolo reduz a chance de diagnósticos tardios, permitindo intervenções precoces e aumentando as taxas de sobrevivência.
Tomossíntese e ultrassonografia em mamas densas
A densidade mamária é outro fator determinante na escolha do exame. Mulheres com mamas densas possuem maior quantidade de tecido fibroglandular em relação ao tecido adiposo, o que pode dificultar a visualização de lesões na mamografia convencional. Nesses casos, a tomossíntese é uma excelente opção, pois seus cortes milimétricos em 3D ajudam a reduzir a sobreposição de estruturas e a melhorar a visualização de lesões sutis.
Além disso, a ultrassonografia é um exame complementar necessário em mamas densas. Por não utilizar radiação e permitir a diferenciação entre nódulos sólidos e císticos, a US é frequentemente recomendada como parte do rastreamento em pacientes com essas características. O uso combinado de mamografia, tomossíntese e ultrassonografia aumenta significativamente a sensibilidade do rastreamento, reduzindo a probabilidade de falsos negativos.
Monitoramento pós-tratamento
Após o diagnóstico e tratamento do câncer de mama, o acompanhamento contínuo é essencial para detectar recidivas ou novos tumores. O plano de monitoramento deve ser adaptado às necessidades individuais de cada paciente, levando em conta o tipo de tratamento realizado (cirurgia, quimioterapia, radioterapia ou terapia hormonal) e as características do tumor inicial.
Periodicidade e escolha do método
As diretrizes para monitoramento recomendam mamografias anuais para pacientes que passaram por tratamentos conservadores, como lumpectomia. Para pacientes submetidas à mastectomia, a necessidade de imagem depende da presença de tecido mamário residual ou reconstrução com implantes. A ressonância magnética pode ser indicada em casos específicos, como na avaliação de implantes ou em pacientes de alto risco para recorrência.
A ultrassonografia também desempenha um papel importante no monitoramento pós-tratamento, sendo utilizada para avaliar alterações locais, como linfonodos suspeitos, ou para guiar procedimentos intervencionistas, como biópsias.
A importância da personalização no pós-tratamento
A abordagem personalizada é importante no acompanhamento de pacientes que já enfrentaram o câncer de mama. Mulheres jovens, por exemplo, podem necessitar de um monitoramento mais intenso devido à maior expectativa de vida e ao maior risco de recorrência a longo prazo.
Por outro lado, mulheres idosas com múltiplas comorbidades podem se beneficiar de uma abordagem menos intensiva, priorizando qualidade de vida.
Dessa forma, essa abordagem requer uma análise detalhada de fatores como:
- Histórico oncológico: pacientes em monitoramento pós-tratamento necessitam de protocolos específicos baseados no tipo de tratamento realizado e no risco de recorrência
- Histórico familiar: antecedentes de câncer em parentes próximos podem justificar a inclusão de exames mais sensíveis, como RM
- Densidade mamária: mulheres com mamas densas requerem métodos que complementem a mamografia convencional.
Portanto, a escolha do exame ideal para cada paciente é um processo dinâmico que combina ciência, tecnologia e sensibilidade clínica. A individualização dessa decisão não apenas melhora os resultados diagnósticos, mas também contribui para uma experiência mais positiva e segura para a paciente.
Pós-graduação lato sensu em imagem da mama
Conforme abordado, os métodos de diagnóstico por imagem da mama desempenham um papel central na triagem, diagnóstico e monitoramento de doenças mamárias. Desde a mamografia digital, padrão-ouro no rastreamento, até a ressonância magnética, tecnologia altamente sensível para casos específicos, cada exame tem suas indicações e contribuições únicas.
A escolha do método ideal deve ser sempre personalizada, levando em conta fatores individuais, como idade, composição mamária e histórico clínico. Essa abordagem garante maior precisão diagnóstica, redução de exames desnecessários e um cuidado mais eficaz para as pacientes.
Se você é um profissional de saúde e deseja aprofundar seus conhecimentos em imagem mamária, conheça a Pós-graduação lato sensu em imagem da mama do cetrus. Este curso oferece uma formação abrangente e prática, preparando você para atuar com excelência no diagnóstico e manejo de doenças mamárias. Invista na sua formação e faça a diferença na saúde das suas pacientes!
Referências bibliográficas
- AMERICAN COLLEGE OF RADIOLOGY. ACR BI-RADS® Atlas – Breast Imaging Reporting and Data System. 5. ed. Reston: American College of Radiology, 2013.
- EDUCA CETRUS. Ultrassom de mama: como utilizar a classificação BI-RADS. Disponível em: https://educa.cetrus.com.br/ultrassom-de-mama-como-utilizar-a-classificacao-bi-rads/. Acesso em: 17 nov. 2024.
- EDUCA CETRUS. Estadiamento do câncer de mama: ferramentas de imagem e sistema TNM. Disponível em: https://educa.cetrus.com.br/estadiamento-do-cancer-de-mama-ferramentas-de-imagem-e-sistema-tnm/. Acesso em: 17 nov. 2024.
- INSTITUTO NACIONAL DE CÂNCER (INCA). Diretrizes para a detecção precoce do câncer de mama no Brasil. 2. ed. Rio de Janeiro: INCA, 2015. Disponível em: https://www.inca.gov.br. Acesso em: 17 nov. 2024.







