Pneumotórax neonatal: como diagnosticar rapidamente com POCUS

Recém-nascido deitado em berço hospitalar com pulseira de identificação rosa no tornozelo, representando cuidados intensivos e diagnóstico de pneumotórax neonatal.

Índice

O pneumotórax neonatal representa uma emergência respiratória que requer reconhecimento e intervenção imediata. Em recém-nascidos, a presença de ar no espaço pleural causa colapso pulmonar parcial ou total, comprometendo a oxigenação e a estabilidade hemodinâmica. Embora a incidência varie entre 1% e 2% dos neonatos internados em unidades de terapia intensiva, o diagnóstico precoce influencia diretamente a sobrevida e o desfecho neurológico.

Tradicionalmente, o diagnóstico baseava-se na avaliação clínica e na radiografia de tórax. No entanto, o advento da ultrassonografia point-of-care (POCUS) transformou a abordagem, permitindo a identificação rápida, precisa e não invasiva do pneumotórax à beira do leito, um avanço decisivo, especialmente em pacientes críticos e instáveis.

O que é pneumotórax neonatal?

O pneumotórax neonatal ocorre quando há acúmulo de ar entre a pleura visceral e a pleura parietal, interrompendo a pressão negativa necessária para a expansão pulmonar. Essa condição pode surgir de forma espontânea ou secundária a intervenções, como ventilação mecânica.

Assim, em recém-nascidos, a fragilidade pulmonar e a complacência reduzida favorecem o rompimento alveolar, permitindo o escape de ar para o espaço pleural. Portanto, dependendo da magnitude, o pneumotórax pode ser pequeno e autolimitado ou evoluir rapidamente para um quadro de pneumotórax hipertensivo, que ameaça a vida do paciente.

Fatores de risco e causas pneumotórax neonatal

Os fatores de risco variam conforme o contexto neonatal. Entre os mais relevantes, destacam-se:

  • Prematuridade: os pulmões imaturos apresentam deficiência de surfactante, predispondo ao colapso alveolar e ao vazamento aéreo
  • Ventilação mecânica invasiva: pressões inspiratórias elevadas aumentam o risco de ruptura alveolar
  • Síndrome do desconforto respiratório (SDR): a heterogeneidade da complacência pulmonar gera áreas de hiperinsuflação
  • Aspiração meconial: o aprisionamento aéreo e as áreas de atelectasia favorecem a formação de pneumotórax
  • Reanimação neonatal vigorosa: manobras com pressão excessiva podem romper alvéolos frágeis.

Além disso, casos espontâneos podem ocorrer em neonatos aparentemente saudáveis, sobretudo em meninos, filhos de mães jovens e partos vaginais precipitados.

Sinais clínicos de pneumotórax

O quadro clínico do pneumotórax neonatal varia de discreto desconforto respiratório a insuficiência respiratória aguda. Em geral, o neonato apresenta taquipneia, retrações intercostais, cianose e saturação periférica de oxigênio reduzida.

A inspeção pode revelar assimetria torácica e expansão desigual, enquanto a ausculta evidencia redução ou ausência do murmúrio vesicular no hemitórax afetado. Em casos graves, o desvio da traqueia, a hipotensão e a bradicardia indicam pneumotórax hipertensivo, uma emergência que exige drenagem imediata.

Na imagem abaixo é possível visualzar um pequeno pneumotórax espontâneo apical esquerdo. A linha pleural visceral é marcada por setas vermelhas.

Fonte: UpToDate, 2025.

Limitações do diagnóstico clínico

Apesar de indispensável, a avaliação clínica isolada nem sempre fornece diagnóstico conclusivo. A sobreposição de sinais com outras causas de desconforto respiratório, como atelectasia, pneumonia ou derrame pleural, dificulta a diferenciação.

A radiografia de tórax, embora útil, demanda deslocamento do paciente e tempo para aquisição e interpretação, fatores que podem atrasar decisões terapêuticas. Assim, o uso do POCUS (Point-of-Care Ultrasound) emerge como ferramenta de alto valor, capaz de confirmar o diagnóstico em segundos, sem a necessidade de transporte ou exposição à radiação.

O papel do POCUS no diagnóstico rápido

O POCUS revolucionou o atendimento neonatal ao permitir a avaliação pulmonar imediata, segura e acurada. Dessa forma, estudos demonstram que a ultrassonografia apresenta sensibilidade e especificidade superiores a 90% para detectar pneumotórax em neonatos, superando a radiografia em rapidez e precisão.

Além disso, o exame pode ser repetido quantas vezes for necessário, permitindo o monitoramento evolutivo e a confirmação pós-intervenção, como após drenagem torácica.

Técnica de ultrassom à beira do leito

O exame deve ser realizado com transdutor linear de alta frequência (10–15 MHz), ideal para estruturas superficiais como a pleura. O paciente permanece em decúbito dorsal, e o operador posiciona o transdutor nos hemitórax anterior e lateral, preferencialmente nos espaços intercostais superiores.

Portanto, o objetivo principal é identificar o deslizamento pleural (“lung sliding”), sinal característico do pulmão expandido. A ausência desse deslizamento sugere pneumotórax, especialmente quando associada à ausência de artefatos pulmonares normais, como as linhas B.

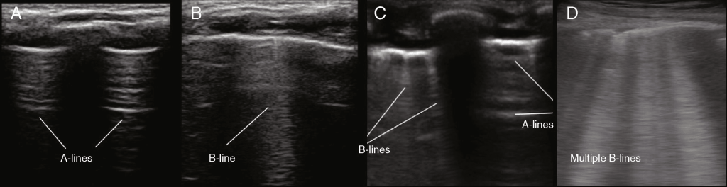
Achados ultrassonográficos indicativos de pneumotórax

Os principais achados ultrassonográficos são:

  • Ausência do “lung sliding”: indica separação entre as pleuras e ausência de ventilação regional
  • Presença de “A-lines” proeminentes: reforça a reflexão aérea sem artefatos verticais
  • Ausência de “B-lines”: confirma ausência de contato pleural
  • Sinal do “lung point”: ponto de transição entre áreas com e sem deslizamento pleural, considerado diagnóstico de pneumotórax.

Assim, o reconhecimento desses sinais, aliado à correlação clínica, permite o diagnóstico imediato, reduzindo significativamente o tempo até a intervenção.

Fonte: jped.com.br

Vantagens do POCUS em neonatologia

O uso do POCUS oferece inúmeras vantagens em comparação aos métodos tradicionais:

  1. Rapidez diagnóstica: o exame pode ser realizado em menos de dois minutos, com resultados imediatos
  2. Evita exposição à radiação: aspecto essencial em neonatos, que apresentam maior sensibilidade a danos ionizantes
  3. Portabilidade: o equipamento pode ser utilizado à beira do leito, inclusive em incubadoras
  4. Monitoramento contínuo: permite reavaliações seriadas sem desconforto ao paciente
  5. Aplicação multiparamétrica: além do pneumotórax, o POCUS avalia derrames, atelectasias e posicionamento de tubos e cateteres.

Dessa forma, esses benefícios tornam o POCUS uma ferramenta indispensável nas unidades de terapia intensiva neonatal (UTIN), especialmente em centros com alta rotatividade e recursos limitados.

Conduta e intervenção baseadas no diagnóstico com POCUS

Após a identificação ultrassonográfica do pneumotórax, o manejo depende da gravidade clínica e do volume de ar identificado.

Nos casos pequenos e assintomáticos, o tratamento conservador com oxigenoterapia e observação pode ser suficiente. Já nos casos de comprometimento respiratório, o POCUS auxilia não apenas no diagnóstico, mas também na orientação da drenagem torácica.

O médico pode utilizar a imagem em tempo real para escolher o ponto ideal de inserção da agulha ou dreno, evitando estruturas vasculares e reduzindo o risco de complicações.

Assim, após a drenagem, a ultrassonografia permite confirmar o reexpansionamento pulmonar, verificar a posição do dreno e monitorar possíveis recidivas.

Casos clínicos e exemplos práticos

Caso 1: Recém-nascido de 32 semanas, em ventilação mecânica, apresentou súbita dessaturação e bradicardia. O POCUS mostrou ausência de deslizamento pleural e presença de “lung point” no hemitórax direito. A drenagem imediata confirmou pneumotórax hipertensivo, com melhora rápida da saturação.

Caso 2: Neonato a termo, parto normal, evoluiu com leve desconforto respiratório nas primeiras horas de vida. O POCUS revelou ausência de B-lines e “A-lines” regulares no hemitórax esquerdo. Optou-se por observação clínica e oxigenoterapia, com resolução espontânea em 24 horas.

Assim, esses exemplos demonstram como o uso do POCUS permite decisões rápidas, baseadas em evidências visuais, reduzindo a necessidade de exames complementares e otimizando o tempo de resposta da equipe.

Ultrassonografia point-of-care na prática neonatológica

A ultrassonografia point-of-care está transformando a prática neonatológica, tornando o atendimento mais ágil, seguro e preciso. Para aprofundar seus conhecimentos e desenvolver habilidades práticas nessa área, conheça o curso da Cetrus.

Aprenda com especialistas que atuam diariamente em UTIs neonatais e domine o uso do POCUS para diagnósticos críticos, como o pneumotórax neonatal.

Referências bibliográficas

  • FERNANDES, Caraciolo J. Pulmonary air leak in the newborn. 2023. Disponível em UpToDate. Acesso em: 05 out. 2025.
  • JANAHI, Ibrahim A. Spontaneous pneumothorax in children. 2024. Disponível em: UpToDate. Acesso em: 05 out. 2025.
  • SOBRINO TORO, Manuel; VÁZQUEZ MARTÍNEZ, José Luis; FALCÃO, Ricardo Viana; PRATA-BARBOSA, Arnaldo; CUNHA, Antonio José Ledo Alves da; et al. Point-of-care ultrasound by the paediatrician in the diagnosis and follow-up of community-acquired pneumonia. Jornal de Pediatria (English Edition), v. 97, n. 1, p. 13-21, 2021. DOI: 10.1016/j.jped.2020.07.003. Disponível em: https://www.jped.com.br/en-point-of-care-ultrasound-by-pediatrician-in-articulo-S0021755720301935. Acesso em 05 de Outubro de 2025.

Cite este artigo no seu trabalho

Para citar este artigo em outro texto, clique e copie a referência em formatação ABNT.

Citação copiada!

Compartilhe esta publicação: