O diagnóstico ecocardiográfico da endocardite infecciosa representa um desafio devido à complexidade da doença e às limitações das ferramentas disponíveis. Assim, a correta identificação das alterações cardíacas, aliada à integração dos dados clínicos e microbiológicos, é fundamental para o manejo eficaz e oportuno dessa condição. Neste contexto, os critérios diagnósticos e o avanço das técnicas de imagem, como a ecocardiografia transesofágica e modalidades complementares, assumem papel central.
Este texto aborda os principais desafios enfrentados no diagnóstico ecocardiográfico da endocardite, além das diretrizes atuais que orientam a prática clínica, destacando as atualizações recentes que visam aprimorar a precisão e a rapidez na detecção da doença.
Critérios modificados de Duke e papel do ecocardiograma
Os critérios modificados de Duke constituem a base do diagnóstico da endocardite infecciosa (EI), ao integrar achados clínicos, microbiológicos e de imagem.
Esses critérios combinam manifestações como febre e presença de sopro cardíaco em pacientes com cardiopatias de risco, hemoculturas positivas para microrganismos típicos e, por fim, alterações ecocardiográficas sugestivas, como vegetações, abscessos ou deiscência de próteses valvares.
Entretanto, apesar de apresentar alta sensibilidade, sua acurácia pode ser limitada em casos de hemoculturas negativas ou ecocardiogramas normais ou inconclusivos.
Ademais, considera-se a ecocardiografia, sobretudo a transesofágica, um pilar diagnóstico nos critérios de Duke. Ela é capaz de identificar as três principais alterações estruturais que configuram critérios maiores: vegetações móveis sem explicação anatômica, abscessos e deiscência de próteses.
Embora o diagnóstico definitivo de EI dependa da confirmação patológica, esta raramente está disponível no momento da decisão clínica, tornando os critérios clínicos indispensáveis para a condução inicial. Por isso, esquemas baseados nos critérios de Duke são amplamente utilizados.
Leia também “Diagnóstico e tratamento da endocardite“!
Ecocardiograma transtorácico x ecocardiograma transesofágico
O ecocardiograma transtorácico (ETT) e o ecocardiograma transesofágico (ETE) são ferramentas fundamentais no diagnóstico da endocardite infecciosa. Todavia, esses exames apresentam diferenças importantes em sensibilidade e aplicabilidade clínica.
O ecocardiograma transtorácico (ETT) é um método não invasivo, amplamente disponível e de fácil execução, sendo comumente utilizado como exame inicial. Contudo, suas limitações técnicas, como a interferência de estruturas torácicas e a menor resolução para imagens detalhadas, reduzem sua sensibilidade, especialmente na detecção de vegetações pequenas ou em pacientes com próteses valvares.
Por outro lado, o ecocardiograma transesofágico (ETE), que posiciona o transdutor no esôfago próximo ao coração, permite a obtenção de imagens mais nítidas e detalhadas devido à proximidade das estruturas cardíacas e ao uso de frequências mais elevadas. Essa técnica apresenta sensibilidade superior ao ETT, especialmente para identificação de vegetações, abscessos perivalvulares e complicações associadas a próteses ou dispositivos intracardíacos.
O ETE é, portanto, considerado o padrão ouro para o diagnóstico ecocardiográfico da endocardite. Dessa forma, é recomendado especialmente em casos com alta suspeita clínica, quando o ETT apresenta resultados negativos ou inconclusivos.
Embora o ETE tenha maior sensibilidade, sua aplicação pode ser limitada por questões de invasividade e tolerância do paciente, de modo que a combinação das duas técnicas é essencial para um diagnóstico mais preciso e precoce da endocardite infecciosa. Dessa forma, o uso inicial do ETT seguido do ETE nos casos indicados constitui uma abordagem diagnóstica eficiente e amplamente aceita na prática clínica.
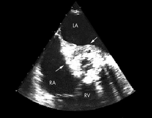
Achados ecocardiográficos sugestivos de endocardite
No diagnóstico ecocardiográfico da endocardite infecciosa, certos achados são considerados indicativos clássicos da doença. Entre eles, destacam-se as vegetações, que apresentam-se como massas móveis e ecodensas aderidas às válvulas cardíacas ou outras superfícies endocárdicas, frequentemente associadas a áreas de fluxo turbulento.
Além disso, a presença de abscessos perivalvulares constitui um importante sinal de comprometimento local avançado. Tais achados caracterizam-se por coleções anecoicas ou hipoecoicas adjacentes às válvulas, muitas vezes detectadas com maior precisão pelo ecocardiograma transesofágico.
Outros sinais relevantes incluem a deiscência ou afrouxamento de próteses valvares. Esses achados são indicativos de possível infecção associada à prótese valvar e podem ser identificados como movimentos anormais ou instabilidade das próteses. Ainda, o exame pode revelar perfurações valvares, formação de fístulas ou regurgitações novas que refletem lesões estruturais causadas pela infecção.
Quando repetir o exame e como monitorar evolução
O acompanhamento ecocardiográfico da endocardite infecciosa exige atenção contínua, especialmente diante de casos em que os achados iniciais não são conclusivos.
Portanto, quando o primeiro ecocardiograma, particularmente o transtorácico, não identifica alterações sugestivas de endocardite, mas a suspeita clínica permanece alta, indica-se repetir o exame em um intervalo de 7 a 10 dias. Isso é fundamental porque vegetações podem estar ausentes nas fases iniciais da infecção ou ainda ser pequenas demais para detecção.
Além disso, repetir o exame se torna fundamental diante de qualquer piora clínica do paciente, como surgimento de novo sopro, descompensação cardíaca, febre persistente ou sinais embólicos. Nesses casos, a repetição, preferencialmente por via transesofágica, pode revelar complicações previamente não visualizadas, como abscessos ou perfuração valvar.
No monitoramento da evolução, a ecocardiografia também desempenha um papel importante na avaliação da resposta ao tratamento antimicrobiano. O exame permite observar a redução ou desaparecimento das vegetações, além de monitorar alterações estruturais residuais, como insuficiência valvar progressiva.
Contudo, a ausência de mudanças ecocardiográficas não exclui melhora clínica, e as decisões terapêuticas devem considerar sempre o conjunto dos dados clínicos, microbiológicos e de imagem.
Principais desafios diagnósticos
O diagnóstico da endocardite infecciosa ainda representa um grande desafio na prática clínica, especialmente em situações que fogem ao perfil clássico da doença. Embora os critérios modificados de Duke sejam amplamente utilizados por associarem achados clínicos, microbiológicos e ecocardiográficos, sua precisão pode ser limitada em determinadas circunstâncias, como em pacientes com hemoculturas negativas ou exames de imagem inconclusivos.
As hemoculturas negativas, por exemplo, dificultam o diagnóstico e podem estar associadas ao uso prévio de antibióticos ou à presença de microrganismos de crescimento lento ou difícil detecção, como Coxiella burnetii, Bartonella spp. e fungos. Felizmente, avanços laboratoriais como hemocultivos automatizados, sorologias específicas e técnicas moleculares como PCR e RNA ribossomal vêm aprimorando a identificação desses agentes.
No campo da imagem, o ecocardiograma continua sendo o exame inicial de escolha, com a modalidade transesofágica oferecendo maior sensibilidade, principalmente em pacientes com próteses valvares ou dispositivos intracardíacos. No entanto, a ausência de vegetações, artefatos acústicos ou achados pouco nítidos podem comprometer a interpretação, exigindo repetição do exame ou complementação com outras técnicas.
Nesse contexto, métodos de imagem mais avançados como ecocardiografia transesofágica tridimensional, tomografia computadorizada multislice (TCMS), ressonância magnética e a tomografia com emissão de posítrons (PET/CT) têm ganhado destaque. Este último, em especial, é útil na avaliação de próteses com mais de três meses de implantação e na detecção de focos infecciosos extracardíacos.
Ainda assim, mesmo com o uso dessas tecnologias, o diagnóstico pode permanecer incerto, sobretudo em idosos ou em pacientes com dispositivos implantáveis, reforçando a necessidade de uma abordagem integrada e individualizada.
Atualizações nas diretrizes e evidências recentes
As diretrizes de 2023 da Sociedade Europeia de Cardiologia trouxeram avanços importantes no diagnóstico da endocardite infecciosa, destacando o papel crescente da imagem multimodal para melhorar a precisão diagnóstica.
Além da ecocardiografia transesofágica, considerada padrão-ouro, as novas recomendações ressaltam a utilidade da tomografia por emissão de pósitrons combinada à tomografia computadorizada (PET/CT), especialmente em pacientes com próteses valvares ou dispositivos intracardíacos, nos quais a ecocardiografia pode apresentar limitações.
Essa abordagem integrada permite uma avaliação mais detalhada da extensão da infecção e a detecção precoce de complicações, como abscessos perianulares, que podem passar despercebidas em exames convencionais.
Além disso, as diretrizes enfatizam a importância da repetição dos exames de imagem quando a suspeita clínica permanece alta, mesmo diante de resultados iniciais negativos ou inconclusivos, reforçando que o diagnóstico precoce é fundamental para o manejo eficaz da doença.
Complementarmente, evidências recentes destacam a necessidade de integração entre os achados clínicos, microbiológicos e de imagem para aumentar a sensibilidade diagnóstica, evitando diagnósticos tardios que podem comprometer o prognóstico.
Em suma, as atualizações enfatizam que o diagnóstico da endocardite infecciosa deve basear-se em uma abordagem multimodal, com o uso combinado e sequencial de técnicas ecocardiográficas avançadas e métodos de imagem adicionais, aliados à avaliação clínica e microbiológica detalhada, visando maior precisão e rapidez no reconhecimento da doença.
Conheça a Pós-Graduação em Ecocardiografia do Cetrus
Quer se destacar na cardiologia diagnóstica? O Cetrus oferece uma pós-graduação completa e atualizada em Ecocardiografia, com enfoque prático e teórico para formar especialistas capazes de interpretar exames com precisão e confiança.
Referências
- Delgado, V.; Marsan, N.A.; de Waha S. et al. 2023 ESC Guidelines for Management of Endocarditis: Key Points. European Heart Journal , Volume 44, Edição 39, 2023.
- Evangelista, A.; Gonzalez-Alujas, M. T. Echocardiography in infective endocarditis. Heart, 2004.
- McDonald, E. G.; Aggrey, G.; Aslan, A. T. Guidelines for Diagnosis and Management of Infective Endocarditis in Adults. JAMA, 2023.
- Sobreiro, D. I. et al. Diagnóstico Precoce da Endocardite Infecciosa: Desafios para um Prognóstico Melhor. Arq Bras Cardiol. 2019.





