O refluxo gastroesofágico (RGE) é uma condição frequente nos lactentes, especialmente nos primeiros meses de vida, geralmente relacionada à imaturidade do trato gastrointestinal e, na maioria dos casos, de caráter fisiológico e autolimitado.
No entanto, diante de sintomas persistentes, atípicos ou associados a repercussões clínicas, torna-se necessária uma investigação mais detalhada para diferenciar o refluxo funcional de quadros patológicos. Nesse contexto, os métodos de imagem desempenham papel complementar na avaliação do RGE, com destaque para a ultrassonografia, que apresenta-se como uma ferramenta não invasiva, isenta de radiação e amplamente disponível, permitindo a análise dinâmica da junção esofagogástrica, além de auxiliar na exclusão de diagnósticos diferenciais.
O que é o refluxo gastroesofágico em bebês
O refluxo gastroesofágico (RGE) em bebês corresponde ao retorno involuntário do conteúdo gástrico para o esôfago, podendo ou não alcançar a cavidade oral, com ou sem exteriorização visível. Trata-se de um fenômeno extremamente comum nos primeiros meses de vida e, na maioria dos casos, faz parte do desenvolvimento fisiológico normal do lactente, apresentando caráter benigno e autolimitado.
Entretanto, a elevada frequência de regurgitações nessa fase gera grande preocupação familiar, mas, isoladamente, não configura doença, desde que não haja repercussões clínicas, sinais de alarme ou prejuízo ao crescimento e ao desenvolvimento infantil.
Fisiologia e imaturidade do esfíncter esofagiano inferior
Nos lactentes, o RGE está intimamente relacionado à imaturidade funcional do esfíncter esofagiano inferior, associada a fatores como alimentação predominantemente líquida, posição supina frequente, menor comprimento do esôfago abdominal e maior volume relativo das refeições. Esses elementos favorecem episódios repetidos de refluxo, especialmente após as mamadas.
Assim, com o amadurecimento neuromuscular do trato gastrointestinal, introdução alimentar e adoção progressiva da posição ortostática, ocorre redução espontânea dos episódios, geralmente entre 12 e 24 meses de idade.
Diferença entre refluxo fisiológico e patológico
A distinção entre refluxo fisiológico e doença do refluxo gastroesofágico (DRGE) é fundamental na prática clínica. Enquanto o refluxo fisiológico ocorre sem causar sintomas relevantes ou complicações, a DRGE é definida pela presença de manifestações clínicas persistentes ou complicações associadas, como irritabilidade intensa, recusa alimentar, déficit ponderal, sintomas respiratórios, esofagite ou episódios de aspiração. Nesses casos, o refluxo deixa de ser apenas um evento funcional e passa a impactar negativamente a qualidade de vida da criança e de seus cuidadores, exigindo avaliação clínica cuidadosa e abordagem individualizada.
Leia também “As 10 doenças gastrointestinais mais comuns em crianças e adolescentes“!
Sinais clínicos que justificam investigação
Os sinais e sintomas da doença do refluxo gastroesofágico variam conforme a idade da criança e a presença de complicações ou comorbidades, configurando um quadro clínico heterogêneo e, muitas vezes, inespecífico.
As manifestações podem ir desde regurgitações e vômitos isolados até condições mais graves, potencialmente ameaçadoras à vida. Além disso, os sintomas podem resultar tanto do refluxo em si quanto de suas complicações esofágicas, como esofagite e estenose, ou de manifestações extraesofágicas.
A presença de sinais de alerta impõe a necessidade de investigação mais aprofundada e eventual mudança no algoritmo diagnóstico. Entre esses achados destacam-se febre, letargia, irritabilidade ou dor excessiva, falha importante de crescimento ou emagrecimento, vômitos persistentes ou noturnos, vômitos biliosos, hematêmese, melena, sangramentos digestivos, distensão abdominal e diarreia crônica. Além disso, achados neurológicos, como convulsões, fontanela tensa, macro ou microcefalia e aumento da circunferência craniana, também sugerem a possibilidade de diagnósticos alternativos e devem ser criteriosamente avaliados.
Diferenças entre investigação do RGE e DRGE
A abordagem diagnóstica do refluxo gastroesofágico (RGE) difere substancialmente daquela adotada na doença do refluxo gastroesofágico (DRGE), especialmente em lactentes.
O RGE é um fenômeno frequente, fisiológico e autolimitado nessa faixa etária, caracterizado por regurgitações não complicadas, crescimento adequado e ausência de sinais de alarme. Nesses casos, o diagnóstico é essencialmente clínico, não havendo indicação de exames complementares nem de tratamento farmacológico, sendo suficientes medidas de orientação e acompanhamento.
Por outro lado, define-se a DRGE pela presença de sintomas persistentes e/ou complicações associadas ao refluxo, com impacto clínico relevante. Nessas situações, especialmente diante de sinais de alerta ou apresentações atípicas, a investigação diagnóstica torna-se necessária para confirmar a natureza patológica do quadro, identificar complicações e afastar diagnósticos diferenciais.
Assim, a avaliação da DRGE pode incluir exames complementares selecionados, como pHmetria esofágica ou pH-impedanciometria multicanal, que permitem correlacionar episódios de refluxo com os sintomas e reconhecer a predominância de refluxos não ácidos nos lactentes. Reserva-se a endoscopia digestiva alta, por sua vez, para casos com suspeita de lesão esofágica ou falha terapêutica. Já os exames de imagem, como a ultrassonografia abdominal, exercem papel no diagnóstico diferencial, auxiliando na exclusão de causas anatômicas ou cirúrgicas.
Papel da ultrassonografia na avaliação do refluxo gastroesofágico
A ultrassonografia tem papel complementar na avaliação do refluxo gastroesofágico, especialmente na população pediátrica, por ser um método não invasivo, seguro, amplamente disponível e livre de radiação ionizante.
O exame permite a análise dinâmica da junção gastroesofágica em tempo real, fornecendo informações anatômicas e funcionais do esôfago distal e do estômago.
Embora apresente sensibilidade variável e possa demonstrar episódios de refluxo, sua especificidade é variável, o que limita seu uso como método diagnóstico de rotina para a DRGE, conforme diretrizes atuais. Assim, indica-se a ultrassonografia como ferramenta auxiliar, seja para o diagnóstico diferencial de condições que mimetizam a DRGE, seja para avaliação funcional e seguimento clínico.
Princípios do exame
Como já mencionado, a ultrassonografia baseia-se na avaliação morfológica e funcional da região gastroesofágica. Assim, entre os principais parâmetros analisados estão:
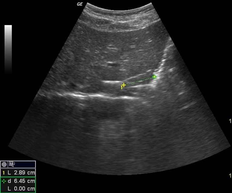
- Comprimento do esôfago abdominal;
- Espessura da parede esofágica;
- Diâmetro do esôfago;
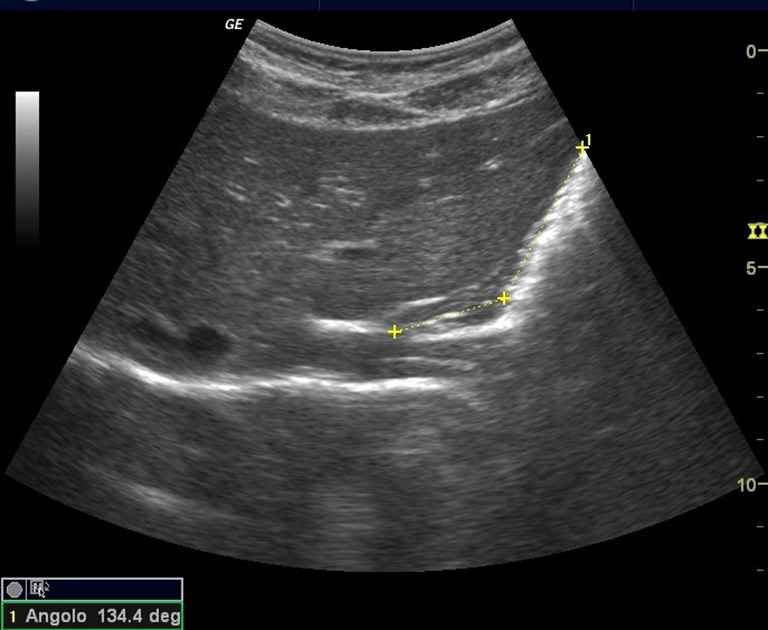
- Ângulo gastroesofágico de His;
- Visualização direta de episódios de refluxo.
Adicionalmente, o método possibilita o estudo da motilidade e do esvaziamento gástrico, bem como da acomodação do fundo gástrico, aspectos relevantes na compreensão da fisiopatologia do refluxo, sobretudo nos distúrbios funcionais do trato gastrointestinal.
Realização do exame
A avaliação ultrassonográfica do RGE é feita por meio de varreduras padronizadas. Para isso, utiliza-se referências anatômicas bem definidas, o que permite mensurações reprodutíveis da junção gastroesofágica e do estômago.
O exame utiliza janelas subcostais, especialmente à esquerda, com identificação da junção gastroesofágica em cortes longitudinais e transversais. O esôfago abdominal é visualizado desde sua passagem pelo diafragma até a cárdia gástrica, identificada por pregas gástricas características. Para avaliação funcional do estômago, mede-se a área do antro gástrico em plano sagital padronizado, utilizando a veia mesentérica superior como referência. O estudo do estômago proximal, por sua vez, envolve cortes sagitais e oblíquos frontais, permitindo estimar volumes e avaliar a acomodação gástrica.
O tempo de observação varia conforme o objetivo do exame. Para avaliação do esvaziamento gástrico, o estômago é monitorado desde o início da refeição até o retorno da área antral aos valores basais, mantendo-se estável por pelo menos 30 minutos. O tempo final de esvaziamento gástrico é então calculado, sendo que, em indivíduos controle, gira em torno de 180 minutos para uma refeição padrão.
Indicações da ultrassonografia para refluxo em lactentes
A ultrassonografia possui indicação seletiva na avaliação do refluxo gastroesofágico em lactentes e, portanto, não deve ser utilizada como exame de rotina para o diagnóstico da DRGE.
Assim, de acordo com diretrizes e evidências disponíveis, seu principal valor reside no diagnóstico diferencial, sobretudo para excluir condições clínicas e cirúrgicas que cursam com vômitos, regurgitações e desconforto alimentar, como a estenose hipertrófica de piloro e a hérnia de hiato.
Além disso, o método pode ser útil em lactentes com sintomas persistentes ou apresentações atípicas, permitindo a avaliação anatômica da junção gastroesofágica e o estudo da motilidade e do esvaziamento gástrico.
Achados ultrassonográficos relevantes
Entre os principais achados descritos estão medidas do esôfago abdominal, do ângulo de His, da parede esofágica e da dinâmica do esvaziamento e da acomodação gástrica, embora os valores de referência ainda não sejam bem padronizados.
Visualização de episódios de refluxo
A ultrassonografia em tempo real permite a visualização direta da junção gastroesofágica, possibilitando a identificação do refluxo do conteúdo gástrico em direção ao esôfago durante o exame.
Essa capacidade dinâmica sustenta o interesse do método na avaliação do refluxo gastroesofágico, especialmente em lactentes. No entanto, os estudos disponíveis carecem de padronização metodológica e não estabelecem critérios diagnósticos robustos. Isso limita, portanto, o uso da visualização isolada dos episódios de refluxo como marcador definitivo de doença.
Espessura e função do esfíncter
Entre os parâmetros ultrassonográficos descritos, destacam-se:
- Mensuração da espessura da parede esofágica.
- Comprimento do esôfago abdominal.
- Avaliação do ângulo gastroesofágico de His.
- Análise da posição do esfíncter esofágico inferior em relação ao diafragma.
Alterações nessas medidas têm sido associadas ao refluxo gastroesofágico em diferentes estudos, sugerindo relevância anatômica e funcional.
Avaliação do esôfago distal e estômago
A ultrassonografia permite a avaliação do esôfago distal por meio da mensuração do diâmetro esofágico, da espessura da parede e do comprimento do segmento abdominal. O estômago é analisado predominantemente sob o aspecto funcional, com destaque para o estudo do esvaziamento gástrico, calculado a partir da área antral, e da acomodação do estômago proximal.
Esses parâmetros contribuem para a compreensão da motilidade gástrica e dos distúrbios funcionais do trato gastrointestinal, com potencial relevância futura na avaliação integrada de pacientes com refluxo gastroesofágico.
Limitações da ultrassonografia na avaliação do refluxo gastroesofágico em bebês
A ultrassonografia apresenta restrições reconhecidas na avaliação do refluxo gastroesofágico em lactentes, motivo pelo qual seu emprego deve ser criterioso no contexto clínico. Embora não seja indicada como método diagnóstico de primeira linha para a investigação da doença do refluxo gastroesofágico (DRGE) em bebês e crianças maiores, o exame pode oferecer informações complementares quando adequadamente contextualizado.
Uma de suas principais limitações é a dificuldade na diferenciação entre o refluxo gastroesofágico fisiológico e a DRGE, o que reduz sua capacidade de confirmar o diagnóstico de forma isolada. Ainda assim, a ultrassonografia permite a visualização da junção gastroesofágica e a análise de aspectos anatômicos e funcionais do trato esofagogástrico, devendo seus achados ser sempre interpretados em conjunto com a avaliação clínica.
Pós-Graduação em Ultrassonografia Pediátrica e Neonatal
Domine a ultrassonografia aplicada à prática pediátrica e neonatal com um curso completo, focado em diagnóstico, tomada de decisão clínica e segurança no cuidado ao paciente. Aprenda com especialistas, unindo teoria à prática e eleve sua performance nos principais cenários da pediatria e neonatologia!
Referências
- Minella R, Minelli R, Rossi E, Cremone G, Tozzi A. Gastroesophageal and gastric ultrasound in children: the state of the art. J Ultrasound. 2021 Mar;24(1):11-14. doi: 10.1007/s40477-020-00471-w. Epub 2020 May 2. PMID: 32361921; PMCID: PMC7925781.
- Sociedade Brasileira de Pediatria. Departamento Científico de Gastroenterologia. Guia Prático de Orientação: Doença do Refluxo Gastroesofágico. Rio de Janeiro: Sociedade Brasileira de Pediatria; 2024. Disponível em: https://www.sbp.com.br/fileadmin/user_upload/24664f-GPO_-_Doenca_de_Refluxo_Gastroesofagico_SITE.pdf. Acesso em 18 dez 2025.
- Raza D, Mohiuddin F, Khan MH, Fawad M, Raza SM. Childhood gastroesophageal reflux disease: A comprehensive review of disease, diagnosis, and therapeutic management. World J Clin Pediatr. 2025 Jun 9;14(2):101175. doi: 10.5409/wjcp.v14.i2.101175. PMID: 40491743; PMCID: PMC11947887.
- Sintusek P, Mutalib M, Thapar N. Gastroesophageal reflux disease in children: What’s new right now? World J Gastrointest Endosc. 2023 Mar 16;15(3):84-102. doi: 10.4253/wjge.v15.i3.84. PMID: 37034973; PMCID: PMC10080553.
- Miranda TBD et al. Ultrassonografia com doppler na avaliação do refluxo gastresofágico. RBUS [Internet]. 1º de setembro de 2019 [citado 18º de dezembro de 2025];27(27):47-51. Disponível em: https://revistarbus.sbus.org.br/index.php/rbus/article/view/214. Acesso em 18 dez 2025.






