A síndrome dos ovários policísticos (SOP) é um distúrbio endócrino comum que afeta mulheres em idade reprodutiva, sendo uma das principais causas de infertilidade e irregularidades menstruais. Dentre um dos seus achados, temos os ovários policísticos.
O diagnóstico é clínico, complementado por exames laboratoriais e de imagem, como o ultrassom transvaginal, essencial para a caracterização morfológica dos ovários. O entendimento das características ultrassonográficas é importante para o diagnóstico e seguimento da SOP, além de ajudar a excluir outras causas de anovulação.
Síndrome dos Ovários Policísticos (SOP)
A Síndrome dos Ovários Policísticos é um distúrbio endócrino comum que afeta entre 6% e 12% das mulheres em idade reprodutiva. A SOP se caracteriza por um desequilíbrio hormonal que provoca a disfunção dos ovários, levando a uma produção excessiva de androgênios (hormônios masculinos), além de irregularidades menstruais e alterações metabólicas.
Embora a causa exata da Síndrome dos Ovários Policísticos seja desconhecida, acredita-se que fatores genéticos e ambientais contribuam para o seu desenvolvimento.
Fisiopatologia da Síndrome dos Ovários Policísticos
A fisiopatologia da Síndrome dos Ovários Policísticos (SOP) é multifatorial e complexa, envolvendo interações entre fatores genéticos, hormonais e ambientais. A principal característica é o desequilíbrio hormonal, que leva à hiperprodução de androgênios pelos ovários, resultando em sinais de hiperandrogenismo (hirsutismo, acne, alopecia) e disfunção ovulatória.
Na SOP, a resistência à insulina é um componente central, presente em cerca de 50% a 70% das pacientes, e contribui para a hiperinsulinemia compensatória. A insulina elevada intensifica a produção de androgênios nos ovários, agravando o hiperandrogenismo. Esse desequilíbrio hormonal também afeta a secreção de hormônio luteinizante (LH), que geralmente está elevado em relação ao hormônio folículo-estimulante (FSH), prejudicando o desenvolvimento e a maturação dos folículos ovarianos, levando à anovulação crônica e formação de cistos ovarianos.
Além disso, a SOP está associada a disfunções metabólicas, como obesidade, dislipidemia e um risco aumentado de diabetes tipo 2 e doenças cardiovasculares. Acredita-se que fatores genéticos desempenham um papel importante, uma vez que a SOP tende a ocorrer em famílias. No entanto, os mecanismos exatos que ligam os diferentes componentes da síndrome ainda não são totalmente compreendidos.
A interação entre resistência à insulina, hiperandrogenismo e disfunção ovulatória forma a base da fisiopatologia da SOP, mas o envolvimento de outros sistemas, como o sistema endócrino e metabólico, acrescenta uma dimensão de complexidade à condição.
Fatores de risco da Síndrome dos Ovários Policísticos
Os fatores de risco para o desenvolvimento da Síndrome dos Ovários Policísticos incluem:
- Histórico familiar: Mulheres com familiares de primeiro grau (mãe ou irmãs) que possuem SOP têm maior risco de desenvolver a síndrome, sugerindo um componente genético.
- Resistência à insulina: A resistência à insulina, que pode estar associada à obesidade ou ao histórico familiar de diabetes tipo 2, é um fator de risco importante. A hiperinsulinemia decorrente agrava o hiperandrogenismo e a disfunção ovulatória.
- Obesidade: Embora a SOP também ocorra em mulheres com peso normal, a obesidade, especialmente o acúmulo de gordura visceral (abdominal), exacerba a resistência à insulina e aumenta a severidade dos sintomas.
- Sedentarismo e dieta inadequada: A falta de atividade física regular e uma dieta rica em alimentos processados e pobres em nutrientes podem contribuir para o aumento da resistência à insulina e o ganho de peso, agravando os riscos de desenvolver SOP.
- Exposição a fatores ambientais: Algumas pesquisas sugerem que a exposição a disruptores endócrinos, como bisfenol A (BPA) e outras substâncias químicas, pode influenciar no desenvolvimento da SOP, embora essa relação ainda esteja sendo investigada.
Esses fatores interagem de forma complexa, contribuindo para a etiopatogenia da SOP, que envolve alterações metabólicas, hormonais e genéticas.
Sinais e sintomas
Os sinais e sintomas da Síndrome dos Ovários Policísticos variam de uma mulher para outra, tanto em intensidade quanto na combinação dos mesmos. De forma geral, ciclos menstruais irregulares, espaçados ou ausentes são um dos principais sinais de SOP. Muitas mulheres com a condição apresentam oligomenorreia ou amenorreia. A anovulação é comum, resultando em dificuldades para engravidar.
Temos ainda o aumento da produção de androgênios, que pode levar a sintomas como hirsutismo (crescimento excessivo de pelos no rosto, peito e abdômen), acne persistente e alopecia androgênica (perda de cabelo no couro cabeludo, em padrão masculino).
Além disso, ao ultrassom, os ovários de mulheres com SOP podem conter muitos pequenos cistos, descritos como múltiplos folículos imaturos (geralmente mais de 12 folículos, cada um com diâmetro entre 2 e 9 mm), além de um aumento no volume ovariano. Esses folículos são resultado de uma falha no desenvolvimento e liberação do óvulo.
Ainda temos como sinais e sintomas da Síndrome dos Ovários Policísticos a resistência à insulina e ganho de peso. Cerca de 50% a 70% das mulheres com SOP apresentam resistência à insulina, o que pode resultar em ganho de peso, particularmente na região abdominal, aumentando o risco de desenvolvimento de diabetes tipo 2 e outras complicações metabólicas, como dislipidemia e síndrome metabólica.
Além disso, mulheres com SOP são mais propensas a desenvolver depressão, ansiedade e distúrbios de humor, muitas vezes devido ao impacto dos sintomas hormonais e estéticos, além de complicações metabólicas.
Diagnóstico da Síndrome dos Ovários Policísticos
A Síndrome dos Ovários Policísticos foi descrita inicialmente por Stein-Leventhal em 1935, associando a amenorreia à presença de ovários policísticos. Desde então, avanços significativos foram feitos, porém ainda não há consenso definitivo sobre seus critérios diagnósticos.
O Consenso de Rotterdam, publicado em 2004 e revisado em 2012, é amplamente utilizado e adota critérios mais flexíveis, permitindo o diagnóstico em mulheres sem hiperandrogenismo claro. Em contrapartida, consensos mais restritos, como os do NIH e da Sociedade de Excessos de Androgênios (AES), visam evitar diagnósticos excessivos sem sinais clássicos da síndrome.
Recentemente, um novo consenso foi coordenado pelo Conselho Nacional de Pesquisa Médica da Austrália (NHMRC), em conjunto com as Sociedades Americana e Europeia de Medicina Reprodutiva, ajustando os critérios diagnósticos clínicos e ultrassonográficos.
Critérios de Rotterdam
O diagnóstico da SOP é geralmente baseado nos critérios de Rotterdam (2003), que incluem a presença de dois dos três fatores:
- Irregularidades menstruais (oligomenorreia ou amenorreia).
- Sinais clínicos ou laboratoriais de hiperandrogenismo.
- Presença de ovários policísticos ao ultrassom.
Além disso, é necessário excluir outras condições que podem causar sintomas semelhantes, como distúrbios da tireoide, hiperplasia adrenal congênita e tumores secretores de androgênios.
Na imagem abaixo é possível observar um resumo dos principais critérios diagnósticos para a Síndrome dos Ovários Policísticos disponibilizados pela Federação Brasileira das Associações de Ginecologia e Obstetrícia (FEBRASGO).
Ovários policísticos ao ultrassom
A ultrassonografia transvaginal é o principal método de imagem utilizado para a avaliação dos ovários em pacientes com suspeita de Síndrome dos Ovários Policísticos. Ela permite uma visualização detalhada da anatomia ovariana e identificação das características morfológicas que são indicativas da condição.
O exame é realizado com o paciente em decúbito dorsal, utilizando um transdutor vaginal para gerar imagens dos ovários. Essa abordagem oferece alta resolução, permitindo a contagem folicular e a avaliação do volume ovariano.
A ultrassonografia transvaginal deve ser preferencialmente realizada durante a fase folicular precoce do ciclo menstrual (dias três a dia cinco) para minimizar a influência dos folículos dominantes que podem estar em crescimento.
Leia também: Por que se especializar em Ginecologia?
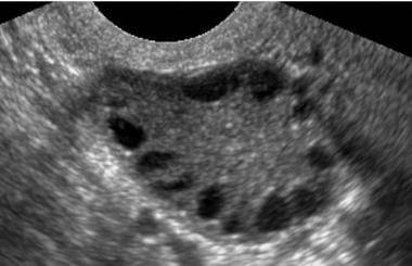
Características ultrassonográficas dos ovários policísticos
Os achados ultrassonográficos típicos de ovários policísticos incluem:
- Presença de folículos múltiplos: O critério mais importante é a presença de 12 ou mais folículos em cada ovário, com diâmetro variando entre 2 e 9 mm.
- Distribuição periférica dos folículos: Os folículos estão frequentemente dispostos na periferia do ovário, conferindo o aspecto clássico de “colar de pérolas” em cortes transversais.
- Aumento do volume ovariano: O volume do ovário é considerado aumentado se exceder 10 cm³. Em alguns casos, pode ser unilateral, mas em geral, a condição afeta ambos os ovários.
- Estroma ovariano: O aumento do estroma é um achado comum em mulheres com SOP, frequentemente correlacionado com a hiperprodução de androgênios.
Esses achados devem ser interpretados no contexto clínico e laboratorial, uma vez que a presença de ovários policísticos na ultrassonografia, isoladamente, não é suficiente para o diagnóstico de SOP.
hiperecogênico. Fonte: Teixeira et. al., 2021.
Assista ao vídeo:
Diferenciação de outras condições clínicas e o uso da ultrassonografia transvaginal
A ultrassonografia transvaginal também é útil para diferenciar a SOP de outras condições que podem cursar com aumento ovariano ou irregularidades menstruais. As principais condições a serem diferenciadas incluem:
- Hiperplasia adrenal congênita não clássica: Associada a elevações dos androgênios, mas com características ovarianas normais.
- Tumores ovarianos ou adrenais: Podem cursar com hiperandrogenismo, mas geralmente apresentam massas palpáveis ou identificáveis ao ultrassom.
- Hipotireoidismo e hiperprolactinemia: Ambas as condições podem provocar ciclos menstruais irregulares e anovulação, mas não alteram a morfologia ovariana.
Em casos de dúvida diagnóstica ou para excluir patologias ovarianas complexas, utiliza-se a ressonância magnética para uma avaliação mais detalhada. Na RM, os achados são semelhantes aos da ultrassonografia, com múltiplos folículos periféricos e aumento do volume ovariano, mas com maior detalhamento tecidual.
Além disso, pode-se solicitar outros exames laboratoriais para excluir causas de hiperandrogenismo ou rastrear doenças de risco metabólico. São eles:
- Testosterona total;
- 17-hidroxiprogesterona;
- Prolactina sérica;
- Glicemia de jejum;
- Glicemia após sobrecarga de 75 g de glicose (para mulheres obesas ou com história familiar de diabete mélito);
- Sulfato de deidroepiandrostestoterona (DHEA-S) (em caso de suspeita de tumor adrenal);
- Hormônio tireoestimulante (TSH);
- Colesterol total, colesterol HDL e triglicerídeos (para pacientes com suspeita de síndrome metabólica).
Curso intensivo em ultrassonografia transvaginal
O Cetrus oferece o Curso Intensivo em Ultrassonografia Transvaginal, desenvolvido para capacitar médicos e especialistas em técnicas avançadas de diagnóstico por imagem.
A ultrassonografia transvaginal é uma ferramenta muito utilizada para diagnósticos precisos de patologias ginecológicas, incluindo condições como Síndrome dos Ovários Policísticos, endometriose, miomas, e muito mais.
Nosso curso intensivo combina teoria e prática em alta tecnologia, para que você esteja apto a realizar exames com confiança e precisão desde o primeiro dia.
Referências
- ÁVILA, M.A.P.; MURTA, C.G.V. Ovários policísticos: critérios hemodinâmicos. Radiol Bras 2001;34(2):101ñ103. Disponível aqui.
- Brasil. Ministério da Saúde. Secretaria de Ciência, Tecnologia, Inovação e Insumos Estratégicos em Saúde. Departamento de Gestão e Incorporação de Tecnologias e Inovação em Saúde. Protocolo Clínico e Diretrizes Terapêuticas da Síndrome de Ovários Policísticos [recurso eletrônico] / Ministério da Saúde, Secretaria de Ciência, Tecnologia, Inovação e Insumos Estratégicos em Saúde, Departamento de Gestão e Incorporação de Tecnologias e Inovação em Saúde. – Brasília : Ministério da Saúde, 2020. 144 p.
- Carvalho BR. Particularidades no manejo da infertilidade. In: Síndrome dos ovários policísticos. São Paulo: Federação Brasileira das Associações de Ginecologia e Obstetrícia (Febrasgo); 2018. Cap. 8. p. 88-103. (Série Orientações e Recomendações Febrasgo, nº 4, Comissão Nacional de Ginecologia Endócrina)
- MORAES, T. R.; BENEDETI, A.C.S. Ultrassonografia e síndrome dos ovários policísticos: revisão sistemática. Revista FT. Volume 27 – Edição 123/JUN 2023 / 06/07/2023. REGISTRO DOI: 10.5281/zenodo.8083938
- Rosa-e-Silva AC, Damásio LC. Conceito, epidemiologia e fisiopatologia aplicada à prática clinica. In: Síndrome dos ovários policísticos. 3a ed. São Paulo: Federação Brasileira das Associações de Ginecologia e Obstetrícia (FEBRASGO); 2023. Cap. 1.p.1-19. (Série Orientações e Recomendações FEBRASGO, n.1, Comissão Nacional de Ginecologia Endócrina).






