A gestação gemelar, embora relativamente comum na prática obstétrica moderna, ainda representa um dos maiores desafios clínicos em termos de diagnóstico precoce, estratificação de risco e conduta obstétrica. Isso se deve, principalmente, à variedade de apresentações possíveis e à alta incidência de complicações associadas. Assim, torna-se fundamental compreender a importância do diagnóstico ultrassonográfico precoce, assim como os critérios que norteiam o acompanhamento rigoroso dessas pacientes ao longo da gestação.
Além disso, a ultrassonografia permite, não apenas identificar o número de fetos, mas também caracterizar o tipo de gemelaridade e antecipar possíveis complicações. Logo nas primeiras semanas, a definição da corionicidade é essencial para definir a periodicidade do seguimento e o tipo de risco que será enfrentado. Por isso, quanto mais precoce e precisa for a avaliação ultrassonográfica, maior a chance de desfechos favoráveis.
Diagnóstico por ultrassom
A confirmação da gestação gemelar, embora relativamente simples do ponto de vista técnico, deve ser acompanhada de uma avaliação minuciosa da corionicidade e amnionicidade. Idealmente, essa avaliação deve ser feita entre a 10ª e a 14ª semana de gestação, período no qual a visualização das membranas intergemelares é mais fidedigna.
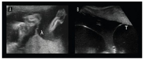
Nesse sentido, a presença do sinal do “lambda” sugere gestação dicoriônica, ao passo que o sinal do “T” é mais característico das gestações monocoriônicas. Portanto, observar atentamente a inserção da membrana na placa corial é um passo indispensável durante a ultrassonografia precoce.
Na imagem abaixo é possível visualizar o sinal do lambda [A] e o sinal do T [B], característicos das gestações gemelares di e monocoriônicas, respectivamente:

Ainda dentro da avaliação morfológica, é importante ressaltar que o acompanhamento ultrassonográfico das gestações gemelares deve ser mais frequente do que nas gestações únicas. Por exemplo, em gestações monocoriônicas diamnióticas, recomenda-se a realização de ultrassonografias quinzenais a partir da 16ª semana. Isso porque, quanto mais precoce for a detecção de alterações como a síndrome de transfusão feto-fetal (STFF), melhores serão os desfechos perinatais.
Tipos de gemelaridade
A depender do momento da divisão do zigoto, podemos ter três principais configurações de gestações gemelares:
Dichoriônica-Diamniótica (DiDi)
Quando a divisão ocorre até o 3º dia pós-fertilização, temos gêmeos com placentas e sacos amnióticos distintos. Esse é o tipo mais comum e menos arriscado de gestação gemelar, sobretudo quando os fetos são dizigóticos.

Monocoriônica-Diamniótica (MoDi)
Por outro lado, quando a divisão ocorre entre o 4º e o 8º dia, os fetos compartilham a mesma placenta, mas possuem sacos amnióticos distintos. Esse é o tipo que demanda maior vigilância, devido à comunicação vascular entre os dois fetos e ao risco elevado de STFF, TAPS (sequência anemia-policitemia) e restrição de crescimento fetal seletivo.
Saiba mais sobre como fazer o acompanhamento dos casos da restrição de crescimento fetal seletiva!
Na imagem abaixo os achados são compatíveis com uma gestação gemelar monocoriônica diamniótica (MoDi):
- Uma placenta (monocoriônica)
- Dois sacos amnióticos (diamniótica)
- Membrana divisória fina entre os embriões.

Monocoriônica-Monoamniótica (MoMo)
Nesse caso, a divisão acontece tardiamente, após o 8º dia, resultando em fetos que compartilham placenta e cavidade amniótica. Trata-se da configuração mais rara e, ao mesmo tempo, mais arriscada, devido à elevada incidência de entrelaçamento de cordões e óbito fetal.
Por conseguinte, determinar corretamente o tipo de gemelaridade é um passo que impacta diretamente a condução da gestação. Sem essa informação, é impossível planejar o seguimento adequado.
A imagem de ultrassonografia com Doppler colorido abaixo mostra duas cavidades amnióticas separadas (sugestivo de MoDi) e uma placenta única, com uma vasculatura placentária exuberante.
O achado mais marcante é a presença de vasos que atravessam de um lado ao outro, entre os dois fetos — possivelmente conectando suas circulações.
Marcadores de risco
À medida que a gestação evolui, diversos sinais ultrassonográficos podem indicar risco aumentado para complicações. Entre eles, destacam-se:
- Discordância de crescimento fetal superior a 20%
- Oligo-hidrâmnio em um dos sacos com polidrâmnio no outro
- Presença ou ausência da bexiga fetal
- Alterações nos índices de pulsatilidade das artérias umbilicais
- Presença de fluxo reverso no ducto venoso.
Além disso, o comprimento do colo uterino deve ser monitorado regularmente, uma vez que sua redução está associada a maior risco de parto prematuro. Esse risco, por sua vez, aumenta ainda mais nas gestações múltiplas, especialmente nas monocoriônicas.
Outro ponto importante é a vigilância com Doppler, que deve incluir, sempre que possível, artérias umbilicais, cerebrais médias e ducto venoso. Assim, é possível identificar padrões sugestivos de insuficiência placentária ou desequilíbrios hemodinâmicos precoces.
Complicações e condutas
As complicações em gestações gemelares são numerosas e variam conforme a corionicidade. Embora algumas sejam mais comuns, como o parto prematuro e a restrição de crescimento, outras, como a STFF, requerem condutas específicas e protocolos bem estabelecidos.
Síndrome de transfusão feto-fetal (STFF)
A STFF ocorre exclusivamente em gestações monocoriônicas diamnióticas. Trata-se de uma condição em que anastomoses vasculares desbalanceadas permitem que um feto “doe” sangue para o outro. O resultado é um feto com hipovolemia e oligoidrâmnio e outro com hipervolemia e polidrâmnio.
O estadiamento da síndrome é feito conforme os critérios de Quintero, que vão do estágio I (discrepância de líquidos) até o estágio V (óbito de um ou ambos os fetos). A partir do estágio II, já se indica avaliação para possível intervenção.
O tratamento padrão consiste na ablação laser dos vasos comunicantes por fetoscopia. Esse procedimento, embora tecnicamente exigente, tem se mostrado eficaz na redução da mortalidade fetal e na preservação neurológica do feto receptor.
Restrição de crescimento fetal seletivo (RGFS)
A RGFS caracteriza-se pela discrepância acentuada no crescimento dos dois fetos, geralmente devido a uma distribuição desigual da placenta. Enquanto um feto cresce normalmente, o outro apresenta crescimento abaixo do percentil 10, com alterações Doppler que indicam sofrimento fetal.
Dependendo da gravidade da restrição e do padrão de fluxos, o manejo pode ser expectante, intervencionista ou até cirúrgico (com interrupção seletiva da gestação). A decisão clínica deve sempre levar em conta a idade gestacional, as condições fetais e os riscos para o feto saudável.
Conheça nosso Fellowship em Ultrassonografia Obstétrica, Morfológica e Doppler
Conforme demonstrado, a gestão clínica de uma gestação gemelar exige muito mais do que o simples monitoramento da vitalidade fetal. Exige, acima de tudo, conhecimento técnico, habilidade para interpretar sinais precoces de descompensação hemodinâmica e, principalmente, acesso a exames seriados de qualidade.
Ademais, o prognóstico desses casos melhora sensivelmente quando há colaboração entre obstetras, especialistas em medicina fetal e neonatologistas. A detecção precoce de complicações, aliada a uma conduta embasada em diretrizes internacionais, pode reduzir drasticamente os índices de mortalidade e morbidade fetal.
Portanto, investir na formação contínua e no uso adequado da ultrassonografia são passos essenciais para qualquer profissional que atue no cuidado pré-natal de gestantes com gestações múltiplas.
Referências bibliográficas
- COPLEN, Diane E.; LIECHTY, Edward A. Twin-to-twin transfusion syndrome. In: LOCKWOOD, Charles J. et al. UpToDate. WALTHAM, MA: Wolters Kluwer, 2024. Disponível em: https://www.uptodate.com/contents/twin-pregnancy-overview. Acesso em: 20 jun. 2025.
- ISUOG – International Society of Ultrasound in Obstetrics and Gynecology. Practice guidelines: role of ultrasound in twin pregnancy. Ultrasound in Obstetrics & Gynecology, v. 47, n. 2, p. 247–263, 2016. DOI: 10.1002/uog.15821.
- NATIONAL INSTITUTE FOR HEALTH AND CARE EXCELLENCE (NICE). Twin and triplet pregnancy: NICE guideline [NG137]. Londres: NICE, 2019. Disponível em: https://www.nice.org.uk/guidance/ng137. Acesso em: 20 jun. 2025.
- Peralta, C. F. A., & Barini, R.. (2011). Ultrassonografia obstétrica entre a 11ª e a 14ª semanas: além do rastreamento de anomalias cromossômicas. Revista Brasileira De Ginecologia E Obstetrícia, 33(1), 49–57. https://doi.org/10.1590/S0100-72032011000100008
- RADIOPAEDIA. Monochorionic diamniotic twin pregnancy. Disponível em: https://radiopaedia.org/articles/monochorionic-diamniotic-twin-pregnancy. Acesso em: 20 jun. 2025.







