A neurossonografia neonatal é um método de imagem amplamente utilizado na prática clínica, por ser não invasivo, acessível e capaz de fornecer informações fundamentais sobre a estrutura e o desenvolvimento cerebral do recém-nascido.
Essa técnica permite a avaliação precoce de alterações neurológicas, como hemorragias intracranianas, malformações congênitas, hidrocefalia e lesões hipóxico-isquêmicas. Seu papel é especialmente relevante em prematuros e neonatos de risco, nos quais o diagnóstico precoce pode orientar intervenções terapêuticas oportunas e impactar diretamente o prognóstico.
Indicações e importância da neurossonografia neonatal
A principal indicação da neurossonografia neonatal é a investigação de hemorragias intracranianas em recém-nascidos prematuros, especialmente para diagnóstico precoce e monitoramento da evolução de complicações, como a hemorragia intraventricular e suas repercussões isquêmicas.
Além disso, o exame desempenha um papel importante em contextos como detecção de anomalias estruturais congênitas e lesões vasculares e triagem para exclusão de patologias intracranianas de maior volume.
A neurossonografia neonatal destaca-se por sua portabilidade, pela possibilidade de ser realizada à beira do leito, sem necessidade de transportar o neonato, e pela ampla quantidade de informações obtidas através da fontanela anterior, que serve como uma excelente janela acústica.
Dessa forma, a neurossonografia consolida-se como um exame acessível, seguro e altamente informativo, cuja importância cresce ainda mais com os avanços tecnológicos dos equipamentos, reforçando a necessidade de maior domínio e atualização por parte da comunidade radiológica.
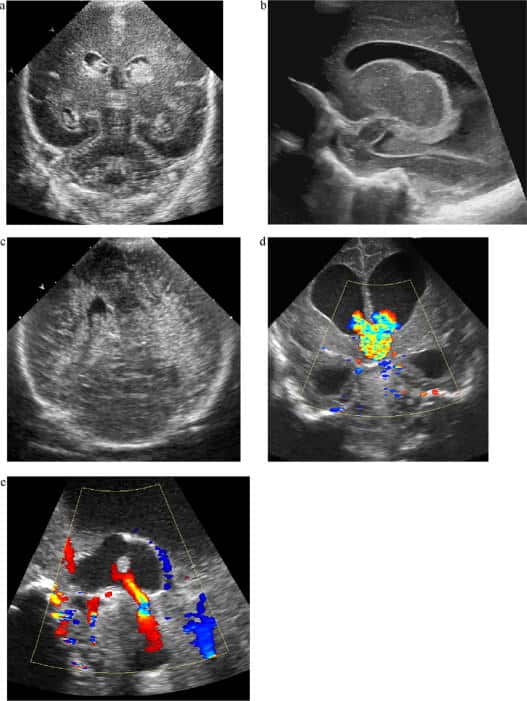
Técnica de realização da neurossonografia neonatal
Geralmente, realiza-se a neurossonografia neonatal à beira do leito, com o recém-nascido ainda na incubadora, preferencialmente por meio da abertura cranial da incubadora, evitando movimentos desnecessários e alterações de temperatura. Além disso, deve-se ter cuidado especial para não exercer pressão sobre a fontanela anterior, sobretudo em prematuros críticos, além de seguir rigorosamente os protocolos assépticos da UTI neonatal.
Obtém-se os melhores resultados com transdutores phased array de alta frequência (5–8 MHz), especialmente em sondas pequenas. Em prematuros, sondas de 7,5 MHz oferecem excelente resolução. A obtenção de imagens pode ser dificultada quando a fontanela é pequena, mas o uso de sondas de pequeno porte com amplo ângulo de insonação (até 140°) contribui para maior qualidade diagnóstica.
O exame inicia-se com imagens em escala de cinza pela fontanela anterior, em planos coronal e sagital: geralmente, seis a oito cortes coronais são obtidos dos lobos frontais aos occipitais, seguidos de cortes sagitais da linha média e parasagitais bilaterais.
O Doppler colorido complementa o estudo, permitindo a análise anatômica e funcional dos vasos, com registro obrigatório do círculo de Willis e da veia de Galeno. Ademais, a avaliação espectral deve incluir parâmetros como velocidade sistólica de pico (VSP), velocidade diastólica final (VDF) e índice de resistência (IR), úteis na investigação de alterações hemodinâmicas.
Observação: o Doppler de amplitude pode auxiliar na avaliação do fluxo vascular, mas não substitui exames complementares como RM ou angioTC para diagnóstico de oclusão, infarto ou tumores.
Leia também “Doppler Transcraniano: você sabe usar o US na neurologia?“
Por fim, a interpretação da imagem exige conhecimento da anatomia normal e de suas variações, bem como dos princípios ultrassonográficos:
- O líquido cefalorraquidiano (LCR) aparece anecoico.
- O plexo coroide e áreas hemorrágicas são hiperecogênicos.
- A substância cinzenta é hipoecogênica.
- A substância branca é hiperecogênica.
Janelas acústicas e cortes principais
As janelas acústicas mais utilizadas na neurossonografia neonatal são:
- Fontanela anterior (a principal e mais acessível).
- Fontanela mastoidea.
- Fontanela posterior.
- Acesso transtemporal.
A fontanela anterior permite a obtenção de cortes coronais e sagitais amplos, fundamentais para o exame sistemático do encéfalo. As janelas mastoidea e transtemporal são especialmente úteis para a avaliação da fossa posterior, enquanto a fontanela posterior pode oferecer melhor visualização da região occipital e das estruturas adjacentes.
Principais achados patológicos da neurossonografia neonatal
Hemorragias intracranianas
A hemorragia intracraniana é uma das principais indicações da neurossonografia neonatal, sobretudo em recém-nascidos prematuros, devido à imaturidade da matriz germinativa.
Quando restrito a área da vasculatura da matriz germinativa subependimária, denomina-se o sangramento como sangramento subependimário (SEB). Por outro lado, caso haja ruptura para o ventrículo lateral, forma-se a hemorragia intraventricular (HIV).
Nesse contexto, com base em sua extensão, divide-se as hemorragias intracranianas em quatro graus:
- I: sangramento restrito à matriz germinativa;
- II: extensão ao ventrículo sem dilatação;
- III: extensão ventricular com dilatação;
- IV: infarto hemorrágico periventricular.
Na ultrassonografia, essas hemorragias geralmente aparecem como áreas ecogênicas, sendo possível visualizar coágulos dentro dos ventrículos. Contudo, nos estágios iniciais, o sangue fresco pode não ser detectado facilmente, sendo perceptível apenas pelo movimento de partículas no líquido cefalorraquidiano, especialmente com Doppler colorido.
A evolução clínica é variável: pequenos sangramentos podem regredir espontaneamente, deixando cistos pós-hemorrágicos, enquanto hemorragias extensas podem levar a ventriculite asséptica, obstrução do fluxo liquórico e consequente hidrocefalia pós-hemorrágica. Além disso, como já mencionado, podem ocorrer infartos hemorrágicos periventriculares, que deixam como sequelas cistos porencefálicos ou áreas de glioses cicatriciais.
Outras causas de sangramento incluem trombose venosa cerebral, trauma de parto e lesões não acidentais, que podem gerar hemorragias tentoriais, subdurais ou epidurais. Essas últimas, assim como as hemorragias subaracnóideas e corticais, podem ser difíceis de identificar pela US, especialmente quando pequenas, exigindo exames complementares como TC ou RM.
Asfixia e hipóxia
A hipóxia e os déficits de perfusão cerebral perinatais são causas importantes de morbimortalidade em recém-nascidos.
Achados ultrassonográficos característicos incluem:
- Aumento difuso da ecogenicidade cerebral.
- Compressão ventricular.
- Redução dos espaços liquóricos, podendo evoluir para necrose, cistos e atrofia secundária.
Além disso, o Doppler transcraniano é um recurso fundamental, permitindo avaliar a hemodinâmica cerebral. Inicialmente o fluxo pode ser normal, mas após a reperfusão surgem alterações como hiperemia, redução do índice resistivo (IR) e, em fases graves, diminuição ou inversão do fluxo diastólico, até a ausência de perfusão periférica compatível com morte cerebral.
Ademais, nos prematuros, destaca-se a leucomalácia periventricular (LPV), decorrente de hipóxia em regiões vulneráveis, que se manifesta por ecogenicidade periventricular irregular e assimétrica, evoluindo para formação de cistos e perda de substância branca.
Por fim, podem ocorrer eventos isquêmicos focais, com edema localizado e aumento ecogênico regional, que podem evoluir para hemorragia.
Malformações congênitas
Atualmente, a maioria das malformações cerebrais congênitas é identificada ainda no período fetal. Dessa forma, utiliza-se a ultrassonografia pós-natal principalmente para confirmação diagnóstica e acompanhamento.
Diversas condições podem ser visualizadas de forma satisfatória por neurossonografia, incluindo:
- Diferentes tipos de hidrocefalia.
- Holoprosencefalia.
- Esquizencefalia (especialmente de lábio aberto).
- Malformações septais ou calosas, assim como os tipos malformações de Chiari e Dandy-Walker.
Em casos específicos, como o Dandy-Walker, recomenda-se uma avaliação detalhada do canal vertebral para identificar malformações disráficas, mielomeningoceles cobertas ou outras alterações, como diastematomielia ou medula presa com lipoma.
Ademais, quando há suspeita de síndromes, o exame deve ser complementado por avaliação cardíaca e abdominal, visto que algumas condições, como a esclerose tuberosa, podem envolver túberas cerebrais, gliomas ou harmatomas parenquimatosos, além de possíveis manifestações cardíacas, renais e hepáticas.
Hidrocefalia
A hidrocefalia pode ser congênita ou adquirida, geralmente secundária a hemorragias, infecções ou lesões ocupando espaço, que comprometem a drenagem do LCR, além de alterações na produção ou reabsorção do líquido.
Nesse contexto, a ultrassonografia neonatal é útil não apenas para identificar a condição e avaliar a anatomia ventricular, mas também para graduar a hidrocefalia, distinguir casos com ou sem hipertensão intracraniana e monitorar a evolução ou resposta ao tratamento. Além disso, medições reprodutíveis do tamanho ventricular permitem comparações com valores normais para a idade, enquanto o prognóstico está mais relacionado à proporção entre parênquima e ventrículos.
O Doppler complementa a avaliação, permitindo estimar a pressão intracraniana e perfusão cerebral, detectando alterações como fluxo diastólico prejudicado em casos de hipertensão.
Outras condições
A neurossonografia neonatal também pode auxiliar na avaliação de diversas outras condições neurológicas, como inflamações, doenças metabólicas, lesões vasculares, trauma e tumores.
Em infecções congênitas ou pré-natais, a ultrassonografia pode revelar alterações estruturais cerebrais, como calcificações pontilhadas ou tensas, além de vasos com contornos ecogênicos, indicando possível vasculopatia.
Na meningite ou meningoencefalite, observa-se alargamento dos espaços subdural e subaracnóideo, ecos flutuantes e aumento da ecogenicidade, com hipervascularização evidente no Doppler. Além disso, lesões parenquimatosas e abscessos também podem ser detectados, embora a RM seja necessária para confirmação e avaliação completa.
Limitações e cuidados na interpretação da neurossonografia neonatal
A neurossonografia neonatal apresenta limitações que exigem cautela na interpretação. Por exemplo, sua capacidade de visualização é restrita em estruturas profundas, como o cerebelo e a fossa posterior, e a qualidade das imagens depende da experiência do operador.
Além disso, lesões sutis do parênquima cerebral, como áreas de isquemia ou alterações na mielinização, podem não ser evidenciadas, sendo necessária a ressonância magnética para avaliação mais detalhada.
Ademais, os achados ultrassonográficos devem ser sempre interpretados em conjunto com a avaliação clínica do recém-nascido, pois sinais podem ser inespecíficos e variar conforme a idade gestacional e o estado do paciente. Dessa forma, em casos complexos, como malformações cerebrais ou lesões profundas, recomenda-se exames complementares para confirmação diagnóstica.
Conheça o Curso de Ultrassonografia Transfontanelar do Cetrus
A neurossonografia é a janela que revela o cérebro neonatal em tempo real. Dominar essa técnica é essencial para identificar precocemente hemorragias, hidrocefalias, malformações e complicações da prematuridade.
No Cetrus, você aprende com especialistas a realizar e interpretar a ultrassonografia transfontanelar de forma prática, objetiva e segura. O curso alia base teórica sólida com treinamento intensivo, preparando você para aplicar imediatamente na sua rotina clínica.
Referências
- Bhat, V.; Bhat, V. Neonatal neurosonography: A pictorial essay. Imagem radiológica indiana J. 2014.
- Riccabona, M. Neonatal neurosonography. European Journal of Radiology, 2014.





