A ressonância magnética (RM) das mamas masculinas é um exame de imagem complementar, geralmente reservado para casos em que os métodos tradicionais, como a mamografia e o ultrassom, não fornecem informações conclusivas.
Embora a maioria das alterações mamárias em homens seja benigna, como a ginecomastia, a RM pode ser fundamental na diferenciação entre lesões benignas e malignas, especialmente em pacientes com fatores de risco elevados ou achados clínicos suspeitos.
Além disso, a técnica permite uma avaliação detalhada da anatomia mamária, do tecido glandular e da extensão de possíveis lesões, contribuindo significativamente para o diagnóstico preciso e o planejamento terapêutico.
Introdução à mama masculina
A mama masculina adulta é composta por pele, tecido adiposo subcutâneo, ductos mamários atróficos e elementos estromais.
Como o desenvolvimento de lóbulos mamários, estimulado pelos hormônios estrogênio e progesterona, é um fenômeno raro nos homens, as patologias associadas à proliferação lobular, como o carcinoma lobular invasivo (CLI), o carcinoma lobular in situ (CLIS), o fibroadenoma e o tumor filoide são pouco frequentes nessa população.
Em contrapartida, alterações relacionadas à proliferação ductal, como a ginecomastia, o carcinoma ductal invasivo (CDI) e o carcinoma ductal in situ (CDIS), são mais comumente observadas em homens.
O câncer de mama em homens é raro, representando menos de 1% de todos os casos da doença. O risco aumenta com a idade, sendo o diagnóstico geralmente mais tardio do que nas mulheres. Entre os principais fatores de risco estão o histórico familiar e alterações genéticas, sendo a mutação BRCA2 a mais comum. Além dos fatores genéticos, condições que afetam o equilíbrio entre estrogênio e andrógeno, como obesidade, doença hepática, disfunções testiculares, alcoolismo, uso de estrogênio e exposição prévia à radiação torácica, também elevam o risco.
A ginecomastia, presente em até 65% dos homens, embora benigna, pode coexistir com fatores hormonais que confundem a avaliação do risco oncológico. Nesse contexto, os exames de imagem desempenham papel fundamental na avaliação das alterações mamárias masculinas.
Principais exames de imagem utilizados na investigação da mama masculina
A mamografia e a ultrassonografia são frequentemente os primeiros métodos utilizados, sendo úteis para caracterizar massas e distinguir entre ginecomastia e lesões suspeitas. No entanto, em casos com achados inconclusivos, anatomia mamária densa ou quando há suspeita clínica persistente apesar de exames iniciais normais, indica-se a ressonância magnética das mamas como ferramenta complementar.
Embora o rastreamento mamográfico seja comprovadamente eficaz na detecção precoce do câncer de mama em mulheres, seu papel em homens ainda não é plenamente estabelecido, sobretudo pela baixa incidência da doença nessa população. Por isso, não recomenda-se a mamografia rotineiramente como exame de rastreamento nos homens, sendo usada principalmente com finalidade diagnóstica.
Indicações de RM da mama masculina
A ressonância magnética da mama masculina é indicada em situações específicas, especialmente quando os métodos convencionais de imagem não fornecem informações conclusivas. Portanto, suas principais aplicações incluem:
- Elucidação de achados inconclusivos em mamografia ou ultrassonografia.
- Avaliação da extensão do câncer de mama, incluindo possível infiltração da parede torácica ou comprometimento da pele.
- Investigação de massa mamária primária em casos de metástase axilar com exames de imagem negativos ou no contexto de câncer de mama inflamatório, para avaliar o envolvimento cutâneo em quadros clinicamente suspeitos.
- Análise de doença residual pós-cirúrgica, quando há dúvida sobre a presença de tumor remanescente.
Técnica da RM de mama
A ressonância magnética da mama é um exame altamente sensível, que utiliza campos magnéticos variáveis para medir alterações no movimento dos prótons presentes na água e na gordura dos tecidos mamários. Essas variações são processadas com base nas diferenças nos tempos de relaxamento tecidual, permitindo a formação de imagens detalhadas da mama.
Na investigação de câncer de mama, o exame requer a administração de contraste intravenoso à base de gadolínio, essencial para avaliar vascularização e possíveis padrões de angiogênese tumoral. Os vasos sanguíneos anormais presentes nos tumores apresentam maior permeabilidade, resultando em rápida captação e liberação do gadolínio nos primeiros minutos após a injeção.
Parâmetros técnicos e posicionamento
Para garantir maior precisão diagnóstica, realiza-se a RM com estudo bilateral das mamas, mesmo quando a suspeita clínica é unilateral, permitindo avaliação comparativa e detecção de lesões contralaterais.
A intensidade do campo magnético recomendada é igual ou superior a 1,5 Tesla, sendo que equipamentos de 3 ou até 7 Tesla proporcionam melhor resolução espacial e maior capacidade de detectar tumores menores que 5 mm. Além disso, utiliza-se a bobina dedicada à mama, projetada para captar sinais dos tecidos mamários de forma otimizada e permitir aquisição simultânea das duas mamas com alta resolução.
Quanto ao posicionamento, realiza-se o exame com o paciente em decúbito ventral, com as mamas posicionadas em aberturas específicas da bobina. Em alguns centros, aplica-se leve compressão para reduzir artefatos de movimento e auxiliar no planejamento de biópsias.
Aquisição e estratégias de imagem
A aquisição das imagens inicia-se geralmente 45 segundos após a injeção do contraste, com novas imagens obtidas a cada um ou dois minutos, totalizando até quatro minutos. A espessura dos cortes deve ser igual ou inferior a 3 mm, e o exame completo dura entre 15 e 30 minutos.
Para maximizar a acurácia, emprega-se técnicas de alta resolução espacial, como o uso de supressão de gordura, para identificar lesões pequenas ou multifocais. Além disso, estratégias dinâmicas, que realizam imagens em intervalos menores que um minuto, aumentam a especificidade ao permitir análise detalhada da curva de captação do contraste. Abordagens híbridas, que combinam boa resolução anatômica com informações cinéticas, também são utilizadas para equilibrar sensibilidade e especificidade
Achados da RM da mama masculina
A ressonância magnética oferece alta sensibilidade na detecção e caracterização de lesões, permitindo diferenciar processos benignos, como a ginecomastia, de patologias malignas.
Além disso, a RM possibilita uma avaliação detalhada da extensão da doença, do envolvimento dos tecidos adjacentes e do planejamento terapêutico, sendo fundamental no manejo clínico do câncer de mama masculino e outras condições mamárias.
Achados sugestivos de ginecomastia
Achados da ginecomastia na ressonância magnética (RM) da mama incluem:
- Presença de áreas de tecido heterogêneo localizadas principalmente na região subareolar.
- Assimetria no volume do tecido mamário, com aumento assimétrico do tecido heterogêneo, podendo estender-se para áreas centrais da mama.
- Ausência de massas suspeitas associadas.
Todavia, esse padrão pode estar relacionado a causas subjacentes, como tumores de células germinativas ou uso de medicamentos.
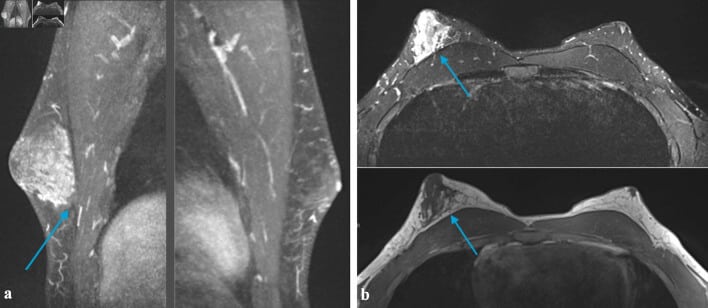
Achados sugestivos de câncer de mama
Por sua vez, os achados sugestivos de câncer de mama na ressonância magnética incluem:
- Presença de lesões de massa com características suspeitas, como margens irregulares ou espiculadas.
- Padrão de realce dinâmico com rápida captação e eliminação do contraste gadolínio (washout), diferindo do realce progressivo típico de lesões benignas.
Além disso, lesões não massivas com padrão de realce em anel aglomerado também indicam maior probabilidade de malignidade, embora apresentem maior índice de falsos positivos.
Domine a excelência diagnóstica com a Pós-Graduação Lato Sensu em Ressonância Magnética da Mama
Aprofunde seus conhecimentos em uma das áreas mais avançadas da imagem médica, com foco especial na avaliação de lesões mamárias complexas, estadiamento oncológico e diagnóstico diferencial preciso.
Referências
- Gradishar, W. J.; Ruddy, Breast cancer in men. UpToDate, 2025..
- Gunduru, M.; Grigorian, C. Breast Magnetic Resonance Imaging. National Library of Medicine, 2023.
- National Cancer Institute. Tratamento do Câncer de Mama Masculino (PDQ®) – Versão para Pacientes. Disponível em: https://www.cancer.gov/types/breast/patient/male-breast-treatment-pdq#_69. Acesso em: 05 jul 2025.
- Slanetz, P. J. MRI of the breast and emerging technologies. UpToDate, 2025.
- Thomas, M. et al. Câncer de mama masculino: considerações sobre imagem para diagnóstico e vigilância. J Clin Med Res. 2024.





