As hérnias inguinais são o deslocamento do conteúdo abdominal que se forma acima do ligamento inguinal. Isso pode ocorrer através de uma área fragilizada ou que apresente danos na parede abdominal e as alterações apresentadas na região podem ser adquiridas ou congênitas.
As hérnias inguinais são uma das condições cirúrgicas mais comuns, representando uma porção significativa dos atendimentos em cirurgia geral. Sua identificação precoce e manejo adequado devem ser realizado a fim de evitar complicações, como encarceramento ou estrangulamento, que podem levar a comprometimento vascular e necrose tecidual.
Anatomia da região abdominal
A parede abdominal é composta por camadas de tecidos que fornecem proteção, suporte estrutural e flexibilidade. As camadas da parede abdominal são formadas por pele e tecido subcutâneo, fascia superficial, camada muscular, fáscia transversalis e peritôneo parietal.
A camada muscular é constituída por três músculos planos, sendo que eles são suplementados pelo reto abdominal, que corre verticalmente ao longo da linha média.
- Oblíquo Externo: o mais superficial, com fibras orientadas em direção inferomedial.
- Oblíquo Interno: localizado abaixo do oblíquo externo, com fibras orientadas superomedialmente.
- Transverso do Abdome: o mais profundo, com fibras horizontais.
A fáscia transversalis e o peritônio são dois importantes componentes que atuam como barreiras para as hérnias.
Anatomia da região inguinal
A região inguinal é composta por estruturas que formam o canal inguinal:
- Anel inguinal interno: Abertura proximal formada pela fáscia transversalis.
- Anel inguinal externo: Abertura distal no apóneurose do músculo oblíquo externo.
- Conteúdo do canal inguinal: Nos homens, inclui o cordão espermático, e nas mulheres, o ligamento redondo do útero.
- Trígono de Hesselbach: Uma área anatômica limitada pelos vasos epigástricos inferiores (lateral), o músculo reto abdominal (medial) e o ligamento inguinal (base).
O conhecimento anatômico detalhado é a base para diferenciar entre os tipos de hérnias inguinais e para planejar intervenções cirúrgicas.
Tipos de hérnias inguinais
A hérnia inguinal é definida como a protusão de um órgão ou tecido através de um ponto fraco ou defeito na parede abdominal, especificamente na região inguinal. Existem dois tipos principais:
Hérnia inguinal indireta
São consideradas as hérnias mais comuns e são mais frequentes nos homens. Geralmente são congênitas.
Costuma ser mais sintomática e também estão mais associadas a complicações. Nelas, o saco herniário atravessa o anel inguinal interno junto ao funículo espermático no homem e o ligamento redondo na mulher. Esse tipo de hérnia pode estender-se até a bolsa testicular (as chamadas hérnias inguinoescrotais).
Leia mais: Ultrassonografia no diagnóstico diferencial da dor inguinoescrotal
Hérnia inguinal direta
São o segundo tipo mais comum e ocorrem por enfraquecimento da parede posterior (Triângulo de Hasselbach). Resultam do aumento da pressão intra-abdominal e são menos sintomáticas, aparecendo mais em pacientes idosos.
Está associada ao enfraquecimento adquirido da fáscia transversalis, ocorre diretamente através da parede posterior do canal inguinal, medial aos vasos epigástricos inferiores.
Classificação
As hérnias podem ser classificadas como:
- Redutíveis: quando o conteúdo pode ser reposicionado na cavidade abdominal;
- Encarceradas: quando o conteúdo não pode ser reduzido;
- Estranguladas: quando há comprometimento do suprimento sanguíneo.
Epidemiologia das hérnias inguinais
As hérnias inguinais são mais prevalentes em homens, com uma proporção de 9:1 em relação às mulheres. A hérnia indireta é o subtipo mais comum em todas as faixas etárias, enquanto a hérnia direta é mais frequente em adultos, particularmente após os 40 anos. Fatores de risco incluem:
Fatores de risco das hérnias inguinais
Quaisquer fatores que ocasionem aumento da pressão da parede abdominal combinados com fragilidade, contribuem no desenvolvimento da doença. Eles são divididos em:
- Congênitos: Persistência do conduto peritoneovaginal.
- Adquiridos: Esforço físico intenso, obesidade, gravidez, constipação crônica, doenças pulmonares obstrutivas crônicas (DPOC) e tabagismo.
Além desses, podemos citar ainda como adquiridos:
- Idade;
- Sexo masculino;
- Cirurgia prévia;
- Tosse e constipação;
- Doenças pulmonares;
- Defeito de colágeno.
Quadro clínico
Os pacientes podem apresentar sintomas variáveis, desde assintomáticos até quadros graves com complicações, apesar dessa ser mais comum em casos de hérnias femorais.
Os principais manifestações clínicas das hérnias inguinais são:
- Protusão na região inguinal: Frequente ao realizar manobras de aumento da pressão intra-abdominal, como tossir ou levantar peso.
- Dor ou desconforto: Geralmente localizado na região inguinal, exacerbado por esforços e aliviado em repouso.
- Hérnia encarcerada: Dor intensa, não redutível e associada a sinais de obstrução intestinal (vômitos, distensão abdominal).
- Hérnia estrangulada: Dor severa, eritema na pele sobrejacente e sinais sistêmicos de sepse.
Diagnóstico das hérnias inguinais
O diagnóstico de hérnia inguinal baseia-se em uma combinação de história clínica, exame físico e exames complementares.
O médico deve investigar a presença de sintomas sugestivos, como protusão intermitente, dor inguinal e fatores desencadeantes. Além disso, questionar ativamente sobre complicações prévias, como episódios de encarceramento ou estrangulamento.
Deve-se realizar o exame físico com o paciente primeiramente deitado e posteriormente em pé. Incia-se com inspeção a fim de identificar abaulamento na região inguinal ou escrotal. Deve-se palpar toda a região do abdome e pelve e pedir ao paciente para realizar a manobra de Valsalva ao inserir o dedo no canal inguinal através da base do escroto. Neste momento, o examinador irá sentir um impulso contra o dedo.
Exames complementares no diagnóstico das hérnias inguinais
Os exames complementares são útis em casos duvidosos ou para planejamento cirúrgico. A ultrassonografia é o primeiro exame de escolha, é altamente sensível para identificar hérnias, distinguir tipos e avaliar complicações. Abaixo falaremos mais sobre ela.
A tomografia computadorizada é indicada em casos complexos ou para diferenciar outras massas inguinais. E a ressonância magnética usada raramente, especialmente em casos atípicos.
Diagnósticos diferenciais das hérnias inguinais
Os principais diagnósticos diferenciais das hérnias inguinais são:
- Hérnia Femoral
- Linfadenopatia inguinal
- Lipomas da parede abdominal
- Hidrocele ou varicocele
- Tumores testiculares ou pélvicos
- Femoralgia ou dor referida.
Uso da ultrassonografia no diagnóstico das hérnias inguinais
A ultrassonografia se destaca como método diagnóstico no caso das hérnias inguinais, apresentando uma taxa de 97 a 100% na detecção de presença de hérnias e taxa de 60 a 86% no diagnóstico do seu tipo.
O exame de ultrassonografia para avaliação da região inguinal utiliza um transdutor linear de alta frequência e inicia-se com o paciente em decúbito dorsal, a região inguinal e a força ilíaca direita ou esquerda exposta. Se houver alta suspeita de hérnia inguinal e não houver detecção da patologia com o paciente em decúbito dorsal, faz-se necessário examinar o paciente em pé.
Técnica ultrassonográfica do abdome
Sabemos que as hérnias parietais são protusões, saída ou deslizamento do conteúdo abdominal através de um orifício natural ou adquirido. Ou seja, é preciso que exista uma fraqueza parietal para que a essa hérnia exista.
Existem regiões do abdome que são mais propensas a acontecer essas fraquezas, principalmente nos lugares que não possuem os planos musculares. Na ultrassonografia, esses locais de fraqueza são vistos como planos de descontinuidade, o que deve ser buscado pelo médico.
Zonas de fraqueza
As áreas de menor resistência anatômica são:
- Região inguinal:
- Canal Inguinal: Contém o funículo espermático (em homens) ou o ligamento redondo do útero (em mulheres). A parede posterior, composta pela fáscia transversalis, é a área mais vulnerável para hérnias diretas.
- Triângulo de Hesselbach: As hérnias diretas emergem através deste triângulo.
- Região Umbilical: Representa um ponto de fraqueza natural devido à involução do anel umbilical após o nascimento.
- Linha Alba: Localizada na linha média entre os músculos retos abdominais, a linha alba é uma estrutura avascular que pode sofrer diástase ou permitir protrusões (hérnias epigástricas).
- Região Femoral: Uma área abaixo do ligamento inguinal que permite a passagem de vasos femorais. Hérnias femorais são mais comuns em mulheres e apresentam maior risco de estrangulamento.
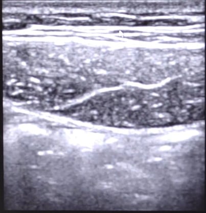
O exame deve começar próximo da região inguinal, com o transtudor colocado na projeção do músculo reto abdominal. Deve-se então identificar os planos parietais e procurar os planos que servem de marco para a realização do exame. Eles estão apresentados na imagem abaixo:
Ainda nessa região, no momento da realização do exame, é importante que o médico conheça e reconheça o ligamento inguinal, que se estende da espinha ilíaca ântero-superior ao púbis. Ele será útil para a diferenciação entre a hérnia fermoral e a hérnia inguinal.
Hérnia inguinal x hérnia femoral
Para podermos diferenciar a hérnia inguinal da hérnia femoral, é importante avaliar bem a anatomia. A referência básica é identificar o ligamento inguinal. Colocando o transtudor acima desse ligamento, identificarmos a artéria epigástrica inferior na sua emergência, logo lateral ou medial a ela, teremos as hérnias inguinais, direta e indireta.
Caso o transdutor seja colocado abaixo do ligamento inguinal, medial à veia femoral, será identidicado então as hérnias femorais.
Curso gratuito com certificado: domine as Hérnias Femorais na Ultrassonografia
No curso sobre ultrassonografia das hérnias femorais do Cetrus, você pode ter acesso à aulas para te ajudar no diagnóstico das hérnias inguinais. Neste curso 100% gratuito e online, você conta com aulas sobre:
- Conceitos básicos: anatomia, exame de USG da parede abdominal e região inguinal, achados normais do exame;
- Hérnia Femoral: técnicas, achados e diferenciação entre a hérnia inguinal e femoral.
Tudo isso com a qualidade técnica dos melhores profissionais: Dra. Elizabeth Ayub, Dr. Adriano Czapkowski e Dr. Claudio Pires. Não perca tempo:
Curso intensivo em: ultrassonografia em hérnias da região inguinal e da parede abdominal
Aproveite e conheça ainda nosso curso sobre hérnias da região inguinal e da parede abdominal, com atividades práticas em ambulatório com boxes amplos e aparelhos modernos, contando com exames demonstrativos realizados pelos professores, que possibilitam grande interação com o método e facilitam o entendimento do aluno sobre a técnica a ser executada.
Referências:
- BROOKS, D.C. Overview of abdominal wall hernias in adults. Uptodate, 2024
- BROOKS, D.C.; HAWN, M. Classification, clinical features, and diagnosis of inguinal and femoral hernias in adults. Uptodate, 2024
- DUARTE, B.H.F. Avaliação da acurácia do exame ultrassonográfico em pacientes portadores de hérnia inguinal. Artigo Original • Rev. Col. Bras. Cir. 46 (2) • 2019
- Goulart, André; Martins, Sandra. Hérnia Inguinal: Anatomia, Patofisiologia, Diagnóstico e Tratamento. Rev. Portuguesa de Cirurgia, n. 33, p. 25-42, jun/2015.







