As estimativas ultrassonográficas da idade gestacional são fundamentadas na correlação entre o tamanho do saco gestacional, o tamanho do embrião (comprimento cabeça-nádega) e o tamanho das partes fetais (como crânio, ossos longos e abdômen). Essas medidas são utilizadas para determinar a idade gestacional com precisão.
Durante o pré-natal, é altamente recomendado realizar um exame de ultrassom antes de 22 semanas de gestação em todas as gestantes. Essa avaliação precoce por ultrassom é mais precisa do que a datação baseada na última menstruação ou no exame físico, proporcionando estimativas mais precisas da idade gestacional e informações valiosas sobre o desenvolvimento fetal.
A estimativa ultrassonográfica da idade gestacional é particularmente essencial em casos de:
- Ciclos menstruais irregulares, com variação de sete ou mais dias.
- Desconhecimento ou incerteza da data da última menstruação (DUM).
- Concepção durante o uso de contracepção hormonal.
- Diferença entre o tamanho do útero no exame físico e a previsão feita pela DUM.
Técnica de avaliação ultrassonográfica
Durante o primeiro trimestre da gravidez, existem duas opções para realizar ultrassonografias: via transvaginal e/ou transabdominal. O transvaginal é recomendado para avaliar o saco gestacional e outras estruturas embrionárias iniciais, como o saco vitelino e a detecção precoce da atividade cardíaca. Geralmente, fornece imagens mais claras e precisas nessa fase.
No entanto, o transabdominal pode não ser capaz de detectar uma gestação intrauterina. Já no segundo e terceiro trimestres, quando o útero está mais alto e o feto é maior, o TAS é usado para a biometria fetal.
A datação ultrassonográfica tende a subestimar a idade gestacional com mais frequência do que a superestimar. Isso ocorre porque a ovulação tardia (após 14 dias) é mais comum do que a ovulação precoce. Portanto, o exame de ultrassom tende a estabelecer uma data estimada do parto posterior à calculada com base na data menstrual. Consequentemente, a taxa de indução para gravidez pós-termo é mais baixa em populações cuja data estimada do parto é determinada por exame ultrassonográfico de rotina em comparação àquelas em que é estabelecido pela data menstrual
Limitações
Alguns fatores podem afetar o desempenho diagnóstico da avaliação ultrassonográfica da idade gestacional. Isso inclui imagens de baixa qualidade devido a questões técnicas, características corporais da mãe ou presença de miomas. Outros fatores são: gestação múltipla, posição fetal, anomalias fetais e variações biológicas.
Primeiro trimestre
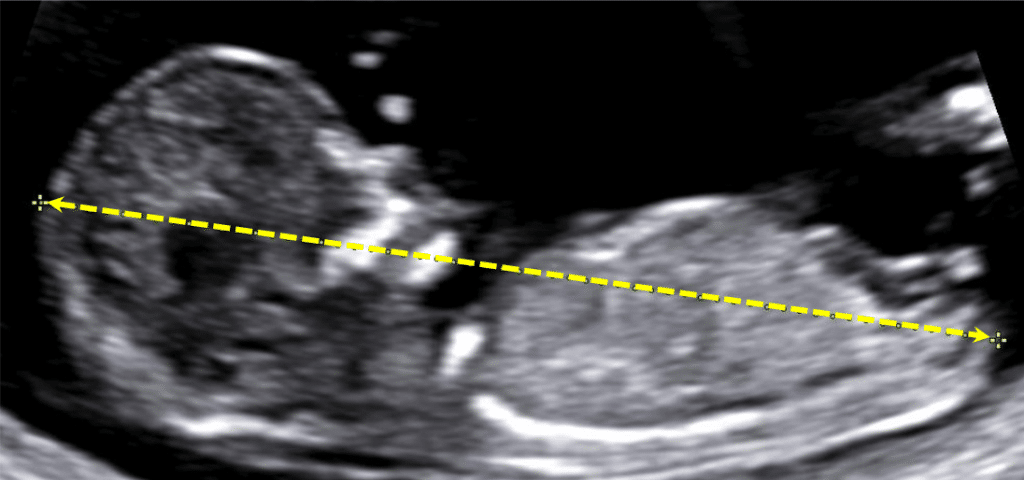
Comprimento cabeça-nádega (CCN)
No primeiro trimestre da gravidez, a avaliação ultrassonográfica do comprimento cabeça-nádega (CCN) é considerada o método mais preciso para estimar a idade gestacional. Enquanto o tamanho do saco gestacional pode ser medido inicialmente para essa avaliação, o CCN se mostra um indicador mais confiável.
Quando o embrião atinge um estágio em que o pólo embrionário é evidente no saco gestacional, o CCN é medido para determinar a data provável do parto (DPP). Essa primeira medição do CCN estabelece a DPP do paciente, que não é alterada com base em biometrias subsequentes.
Alguns profissionais podem optar por não medir o CCN até que a atividade cardíaca seja observada, enquanto outros medirão o CCN mesmo antes da detecção da atividade cardíaca e utilizarão essa medida para estimar o DPP. Nesse caso, solicita-se que a paciente retorne para um novo ultrassom em cerca de uma semana para descartar um possível aborto retido.
Pontos-chave da avaliação da idade gestacional pelo CCN:
- Entre 6 e 7 semanas de gestação, quando o embrião é visível e mensurável, o CCN é o parâmetro biométrico mais preciso para a datação da gravidez, com uma precisão de ±5 dias;
- Quando o CCN é inferior a 25 mm, a idade gestacional em dias é calculada somando-se o valor do CCN (em mm) a 42;
- Se o CCN for superior a 84 mm, a avaliação da idade gestacional deve ser feita por meio do diâmetro biparietal ou do perímetro cefálico.

O CCN é definido como a reta mais longa do embrião, da margem externa do polo cefálico até a região da nádega. Geralmente, um comprimento de pelo menos 5 mm permite a visualização rotineira do embrião, embora embriões menores, entre 2 e 3 mm, também possam ser vistos.
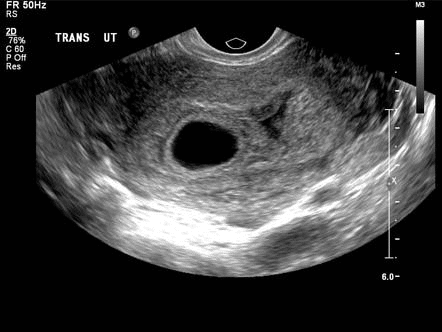
Saco gestacional
Ao realizar a avaliação da idade gestacional durante o pré-natal, é comum utilizar o tamanho do saco gestacional como uma medida inicial. No entanto, é importante ressaltar que essa medida não é recomendada para calcular a DPP com precisão.
Pontos-chave da avaliação da idade gestacional por meio do saco gestacional:
- O saco gestacional se torna claramente visível entre 4,5 e 5 semanas de gestação
- É um sinal duplo decidual que pode ser observado entre 5,5 e 6 semanas.
- Idade gestacional estimada (dias) = diâmetro médio do saco (MSD) em mm + 30
- O diâmetro médio do saco possui uma precisão de ±5 a 7 dias, porém não é suficientemente preciso para determinar com exatidão a idade gestacional, uma vez que gestações inviáveis também podem ser mensuráveis.

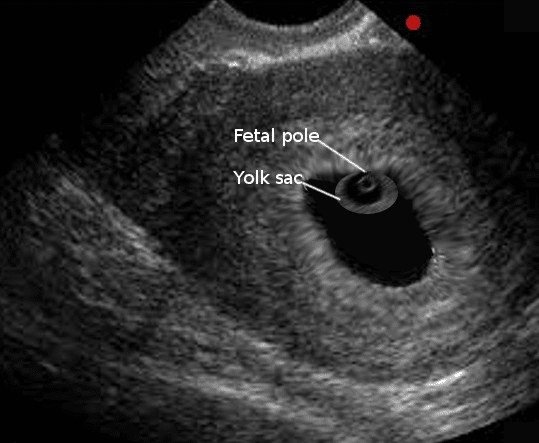
Marcos do primeiro trimestre
O saco vitelino é uma estrutura anatômica esférica, com centro sonolucente e periferia ecogênica. Ele pode ser observado nas primeiras semanas da gestação, geralmente quando o diâmetro médio do saco atinge aproximadamente 5 mm. No entanto, em alguns casos, pode não ser visível até que o diâmetro se aproxime de 8 mm.
Pontos-chave sobre a avaliação do saco vitelino por ultrassonografia transvaginal incluem:
- O saco vitelino torna-se visível pela primeira vez por volta da 5ª semana de gestação e normalmente se degrada entre as 10 e 12 semanas;
- O diâmetro do saco vitelino tem uma correlação pobre com a idade gestacional, portanto, não é utilizado para estimar a idade gestacional e DPP;
- Para confirmar uma gravidez inviável, nenhum saco vitelino ou pólo embrionário deve ser visível quando o diâmetro médio do saco atinge 25 mm.

Segundo e terceiro trimestre
Durante a avaliação pré-natal por ultrassonografia, os parâmetros biométricos desempenham um papel fundamental na estimativa da idade gestacional no segundo e terceiro trimestres da gravidez. Os dois parâmetros biométricos padrão utilizados são DBP (diâmetro biparietal) e CC (circunferência cefálica).
No entanto, é importante ressaltar que essas medidas não devem ser usadas para alterar a DPP determinada no primeiro trimestre pelo comprimento cabeça-nádega, pois este último é mais preciso. Em vez disso, esses parâmetros são utilizados para determinar se o tamanho fetal está dentro da faixa normal ou apresenta restrição, aceleração ou assimetria com base na DPP previamente calculada.
Diâmetro biparietal
Conforme as diretrizes de organizações nacionais, recomenda-se o uso do diâmetro biparietal (DBP) para avaliar a idade gestacional quando o comprimento cabeça-nádega é maior que 84 mm (14 semanas de gestação). Após 22 semanas, ocorre uma variação significativa, devido à grande variação biológica normal na forma e tamanho fetal durante o avanço da idade gestacional.
A medição do DBP é realizada em um plano de corte que atravessa o terceiro ventrículo e o tálamo. Para melhorar ainda mais a precisão do teste, a calota craniana deve apresentar uma aparência lisa e simétrica no plano de corte.

Em casos de variações na forma do crânio, como dolicocefalia ou braquicefalia, a medida do perímetro cefálico pode ser mais confiável do que o DBP para determinar a idade gestacional.
Circunferencia cefálica
A medição da circunferencia cefálica (CC) fetal fornece uma estimativa confiável da idade gestacional em ultrassonografias de rotina e é particularmente útil em casos de distúrbios do crescimento ou variações na forma do crânio.
A imagem correta para a medição do CC passa pelo tálamo e terceiro ventrículo, seguindo um plano semelhante ao do DBP. No entanto, para obter a medida adequada, é necessário visualizar outros marcos intracerebrais, como o cavum septum pellucidum na parte anterior e o hiato tentorial na parte posterior.

Essa visão não deve incluir o cerebelo nem os ventrículos cerebrais laterais. É importante que a calota craniana apresente uma aparência simétrica na imagem.
Marcos do terceiro trimestre
A avaliação ultrassonográfica pode revelar vários sinais sugestivos de maturidade fetal, os quais podem ser correlacionados com a idade gestacional quando não há informações precisas sobre as datas menstruais ou quando um exame ultrassonográfico precoce não foi realizado. Por exemplo, os centros de ossificação epifisária femoral e tibial proximal são bem visíveis por volta das 32 e 35 semanas de gestação, respectivamente.

Além disso, a epífise proximal do úmero também se torna visível no final do terceiro trimestre e está associada à maturidade pulmonar fetal e à idade gestacional. No entanto, é importante destacar que a identificação desses marcos de maturação óssea não é incorporada à avaliação biométrica real da idade gestacional. Eles são recursos visuais complementares que auxiliam na determinação da maturidade fetal no estágio avançado da gravidez.
Conheça nossa pós e domine o tema
A Pós-Graduação em Ultrassonografia Obstétrica, Morfológica e Doppler do Cetrus tem como foco proporcionar conhecimento teórico-prático aprofundado na área, com ampla carga prática e atendimento a pacientes reais. Só nesse curso você:
- Pratica as técnicas aprendidas em hands on em pacientes reais
- Acompanha suas pacientes até o final do curso
- Tem a oportunidade de realizar os exames diversas vezes ao longo dos módulo, fixando melhor o aprendizado e ganhando autonomia e segurança

Referências
- Papageorghiou, A.T., Kennedy, S.H., Salomon, L.J., Ohuma, E.O., Cheikh Ismail, L., Barros, F.C., Lambert, A., Carvalho, M., Jaffer, Y.A., Bertino, E., Gravett, M.G., Altman, D.G., Purwar, M., Noble, J.A., Pang, R., Victora, C.G., Bhutta, Z.A., Villar, J. and (2014), International standards for early fetal size and pregnancy dating based on ultrasound measurement of crown–rump length in the first trimester of pregnancy. Ultrasound Obstet Gynecol, 44: 641-648.
- Whitworth M, Bricker L, Mullan C. Ultrasound for fetal assessment in early pregnancy. Cochrane Database Syst Rev. 2015 Jul 14;2015(7):CD007058.
- Grisolia, G., Milano, K., Pilu, G., Banzi, C., David, C., Gabrielli, S., Rizzo, N., Morandi, R. and Bovicelli, L. (1993), Biometry of early pregnancy with transvaginal sonography. Ultrasound Obstet Gynecol, 3: 403-411.
- Kalish RB, Thaler HT, Chasen ST, Gupta M, Berman SJ, Rosenwaks Z, Chervenak FA. First- and second-trimester ultrasound assessment of gestational age. Am J Obstet Gynecol. 2004 Sep;191(3):975-8.
- Salomon, L.J., Alfirevic, Z., Da Silva Costa, F., Deter, R.L., Figueras, F., Ghi, T., Glanc, P., Khalil, A., Lee, W., Napolitano, R., Papageorghiou, A., Sotiriadis, A., Stirnemann, J., Toi, A. and Yeo, G. (2019), ISUOG Practice Guidelines: ultrasound assessment of fetal biometry and growth. Ultrasound Obstet Gynecol, 53: 715-723.

Dra. Larrie Laporte
Médica pela Escola Bahiana de Medicina e Saúde Pública. Estatística pela Universidade Salvador. Formação em pesquisa clínica pela Harvard T.H. Chan School of Public Health. Possui interesse em medicina intensiva, cuidados paliativos, bioestatística e metodologia científica.







