O Doppler obstétrico é uma ferramenta essencial na prática clínica, permitindo a avaliação do fluxo sanguíneo materno e fetal de forma não invasiva. Seu uso adequado no consultório pode ajudar a identificar precocemente alterações como restrição de crescimento fetal, insuficiência placentária e risco de complicações hipertensivas, proporcionando intervenções mais seguras e oportunas.
Dessa forma, compreender os princípios básicos da técnica, os parâmetros hemodinâmicos e as indicações corretas para cada exame é fundamental para melhorar a acurácia dos diagnósticos e oferecer um acompanhamento gestacional mais preciso.
Introdução ao Doppler obstétrico
O Doppler obstétrico é uma técnica de ultrassonografia que permite estudar o fluxo sanguíneo materno e fetal de maneira não invasiva. Isso ocorre porque ele baseia-se no efeito Doppler, que mede a variação da frequência das ondas ultrassonográficas refletidas por células em movimento, como os eritrócitos, permitindo avaliar direção e velocidade do fluxo.
Além disso, a utilização do Doppler na gestação permite monitorar a saúde fetal e materna com maior precisão. Especificamente, ele é fundamental para avaliar o funcionamento do sistema cardiovascular fetal, a perfusão fetoplacentária e uteroplacentária, além de auxiliar na análise de cistos e tumores pélvicos.
Dessa forma, quando aplicado corretamente, contribui para decisões clínicas mais seguras, possibilitando, assim, intervenções precoces em situações de risco para mãe e feto.
Indicações clínicas do Doppler obstétrico
O uso do Doppler obstétrico vai além do acompanhamento rotineiro da gestação, pois oferece informações valiosas sobre o bem-estar fetal, a perfusão placentária e a circulação uterina. Além disso, ele auxilia na investigação de malformações e massas pélvicas.
Nos próximos tópicos, abordaremos detalhadamente as indicações clínicas do Doppler obstétrico.
Avaliação do fluxo sanguíneo fetal
O Doppler é amplamente usado para monitorar o bem-estar fetal, especialmente em gestações de alto risco, como aquelas com restrição de crescimento.
Nesse contexto, a avaliação do pico de fluxo sistólico na artéria cerebral média permite detectar anemia fetal precocemente. Essa análise é essencial em casos de aloimunização materna ou hemorragias fetais, por exemplo.
Detecção de complicações placentárias
O exame auxilia na identificação de alterações na interface materno-placentária, como o espectro da placenta acreta, e na suspeita de vasa prévia. Além disso, permite avaliar o fluxo sanguíneo de tumores ovarianos ou endometriais.
Essas informações ajudam a planejar a conduta clínica, o momento do parto e possíveis intervenções cirúrgicas, garantindo maior segurança materno-fetal.
Predição de pré-eclâmpsia e parto pré-termo
O Doppler da artéria uterina permite identificar alterações precoces no fluxo sanguíneo que podem antecipar o risco de pré-eclâmpsia e parto pré-termo.
Dessa forma, a avaliação com o exame possibilita o acompanhamento intensivo e a implementação de estratégias preventivas, melhorando os desfechos obstétricos e reduzindo complicações maternas e neonatais.
Outras indicações clínicas relevantes
Além das situações citadas, o Doppler obstétrico também é útil em:
- Monitoramento de gestantes com hipertensão crônica ou gestacional, permitindo avaliação da circulação uteroplacentária e risco de insuficiência placentária;
- Avaliação de malformações fetais cardiovasculares, possibilitando detecção precoce de cardiopatias e orientação sobre conduta perinatal;
- Acompanhamento de gestantes com múltiplos fetos, para identificar discrepâncias de crescimento e alterações hemodinâmicas entre os fetos;
- Avaliação de fluxo em cordão umbilical e veias vitais fetais, contribuindo para decisões sobre tempo e via de parto em situações de sofrimento fetal;
- Investigações de massas pélvicas maternas ou fetais, auxiliando na caracterização do grau de vascularização e possível malignidade.
Métodos de Doppler em obstetrícia
No contexto obstétrico, o Doppler permite avaliar o fluxo sanguíneo fetal e placentário por diferentes métodos:
- Colorido: utilizado para localizar e visualizar os vasos sanguíneos, facilitando a identificação das artérias e veias a serem examinadas.
- Espectral: permite analisar o padrão de fluxo ao longo do tempo, mostrando picos e vales que refletem sístole e diástole, sendo útil para avaliar resistência e hemodinâmica fetal.
- Pulsátil: mensura parâmetros quantitativos, como o índice de pulsatilidade (IP) e índice de resistência (IR), fornecendo informações sobre a resistência vascular e possíveis alterações na circulação fetal ou uteroplacentária.
Leia também “Diretrizes Práticas da ISUOG: uso de dopplervelocimetria em obstetrícia“!
Interpretação dos resultados do Doppler obstétrico
Avaliação da vitalidade fetal
O Doppler obstétrico é um recurso valioso para avaliar a vitalidade fetal em gestações com risco de insuficiência placentária, além de complementar outros métodos, como, por exemplo, o controle da movimentação fetal (mobilograma), a cardiotocografia e o perfil biofísico fetal.
Além disso, através do Doppler, é possível quantificar a resistência ao fluxo sanguíneo em vasos fetais específicos, o que permite, de forma precoce, detectar alterações na circulação útero-placentária e suas repercussões hemodinâmicas no feto.
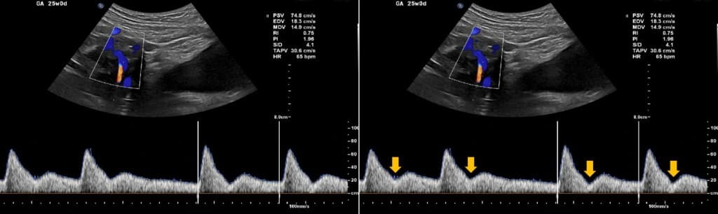
Artéria umbilical
A avaliação da artéria umbilical permite identificar alterações na resistência ao fluxo sanguíneo, que refletem o funcionamento da placenta.
Nesse contexto, utiliza-se o Doppler colorido para localizar as artérias e a veia umbilical, enquanto o Doppler espectral gera gráficos da velocidade do fluxo ao longo do tempo, permitindo calcular índices como o índice de pulsatilidade (IP), cujos valores de referência variam a depender da idade gestacional.
Alterações no desenvolvimento ou na função dos espaços intervilosos podem levar ao aumento dessa resistência ao fluxo sanguíneo nas artérias umbilicais, comprometendo a perfusão fetal.

Com a progressão da insuficiência útero-placentária, esse aumento torna-se mais severo, podendo reduzir ou até interromper o fluxo sanguíneo durante a diástole, caracterizando a chamada diástole zero.

Ademais, nos casos mais graves, observa-se a inversão do fluxo diastólico, conhecida como diástole reversa, indicando falência placentária avançada e maior risco de complicações fetais.

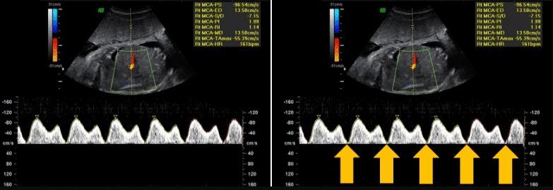
Artéria cerebral média (ACM)
Utiliza-se o Doppler da artéria cerebral média para avaliar a resposta fetal à hipóxia crônica causada por insuficiência placentária. Nessa condição, ocorre uma redistribuição do fluxo sanguíneo para órgãos vitais, como cérebro, coração e glândulas adrenais, fenômeno conhecido como centralização fetal.
Portanto, no Doppler, observa-se aumento do fluxo diastólico e redução da resistência na artéria cerebral média, sendo considerados alterados os valores de IP abaixo do percentil 5 para a idade gestacional.
Ducto venoso
O ducto venoso é um pequeno vaso fetal que conecta a veia porta esquerda à veia cava inferior, permitindo, assim, que o sangue oxigenado da placenta chegue diretamente ao coração, sem passar pelo sistema porta. Após o nascimento, ele fecha-se e forma o ligamento venoso.
No Doppler espectral, o ducto venoso apresenta um padrão típico composto por dois picos e um vale:
- O primeiro pico indica a sístole ventricular.
- O segundo pico indica a diástole ventricular.
- O vale representa a sístole atrial (“onda a”).
Em situações de hipóxia fetal prolongada devido à insuficiência placentária, por exemplo, a vasoconstrição periférica aumenta a pressão cardíaca, especialmente no ventrículo direito, provocando fluxo retrógrado na veia cava inferior e redução do fluxo no ducto venoso.
No Doppler, isso se traduz em aumento do índice de pulsatilidade (IP) e, em estágios avançados, na ausência ou inversão da onda “A”, correspondente à sístole atrial.
Portanto, alterações no fluxo, como diminuição, ausência ou inversão, são indicativas de hipóxia fetal e estão associadas a maior risco de morbidade e mortalidade neonatal, com correlação com pH baixo ao nascimento.
Predição de pré-eclâmpsia e restrição de crescimento fetal
Por fim, o Doppler das artérias uterinas avalia o compartimento materno da placenta, fornecendo informações sobre a resistência vascular uterina e o funcionamento das artérias espirais.
Durante a gestação normal, a invasão trofoblástica no primeiro trimestre promove o remodelamento dessas artérias, o que, consequentemente, reduz sua resistência e garante suprimento adequado à placenta. No entanto, alterações nesse processo, como resistência aumentada ou presença de incisura diastólica bilateral, estão associadas a um maior risco de pré-eclâmpsia (PE) precoce e restrição de crescimento fetal (RCF).
Nesse contexto, utiliza-se o índice de pulsatilidade (IP) das artérias uterinas para quantificar essa resistência, sendo valores elevados indicativos de risco aumentado.
Além disso, a presença de incisura protodiastólica sugere fluxo mais restrito, e seu achado precoce no primeiro trimestre pode ajudar na triagem de gestantes de alto risco, permitindo intervenção e monitoramento adequado.
Conheça os Fellowships de Ultrassonografia Obstétrica do Cetrus
Você é médico e deseja se destacar na área de ultrassonografia obstétrica? O Cetrus oferece programas de fellowship exclusivos, com foco em formação prática supervisionada, para capacitar profissionais a realizar diagnósticos precisos e seguros durante a gestação.
Por que escolher o Fellowship do Cetrus?
- Certificação reconhecida: pós-graduação lato sensu reconhecida pelo MEC, agregando valor ao seu currículo.
- Formação prática supervisionada: aprenda realizando exames reais sob a orientação de especialistas renomados.
- Equipamentos de ponta: acesso a tecnologia de última geração para garantir a melhor qualidade de imagem.
- Ambientes de aprendizado modernos: clínicas parceiras equipadas para proporcionar uma experiência de aprendizado imersiva.
Referências
- Oancea M. et al. Uterine Artery Doppler Ultrasonography for First Trimester Prediction of Preeclampsia in Individuals at Risk from Low-Resource Settings. Medicina (Kaunas). 2020 Aug 26;56(9):428. doi: 10.3390/medicina56090428. PMID: 32858825; PMCID: PMC7558714.
- Pastore, D. E.; Valente, I. S.; Jales, R. M. Interpretação do doppler obstétrico na avaliação da vitalidade fetal. 2016. Disponível em: https://drpixel.fcm.unicamp.br/conteudo/interpretacao-do-doppler-obstetrico-na-avaliacao-da-vitalidade-fetal. Acesso em: 21 set 2025.
- Shipp, T. D. Overview of ultrasound examination in obstetrics and gynecology. UpToDate, 2025.





