Ultrassom morfológico do 2º trimestre: tudo o que você precisa saber para sua prática obstétrica!
O ultrassom morfológico do segundo trimestre é um dos exames mais importantes no acompanhamento pré-natal. A janela ideal para sua realização situa-se entre 18 e 24 semanas de gestação, período em que há maior nitidez dos planos anatômicos e maior acurácia na identificação de estruturas fetais.
A principal finalidade do exame é o rastreio de malformações estruturais, permitindo uma avaliação detalhada do desenvolvimento fetal. Diferentemente do ultrassom do primeiro trimestre, que tem foco na viabilidade gestacional e rastreio de aneuploidias por marcadores indiretos, o morfológico do segundo trimestre amplia a abordagem, permitindo visualizar órgãos e sistemas em desenvolvimento.
Além disso, esse exame se mostra fundamental na detecção de anomalias que podem não ser identificáveis precocemente, como alterações cerebrais, cardíacas e do trato gastrointestinal.
Como reforçado no artigo “Abordagem diagnóstica das malformações na ultrassonografia morfológica”, é nesta fase que há maior sensibilidade para diagnósticos que impactam diretamente na conduta obstétrica e neonatal.
Red flags ultrassonográficos: o que não pode passar despercebido
Durante a avaliação morfológica, alguns achados devem ser considerados verdadeiras red flags. A seguir, os principais sistemas anatômicos e seus achados ultrassonográficos de alerta.
Sistema Nervoso Central (SNC)
Os principais achados são:
Ventriculomegalia
Dilatação dos ventrículos laterais acima de 10 mm pode indicar hidrocefalia ou infecções congênitas.
Agenesia do corpo caloso
Caracteriza-se pela ausência da estrutura mediana e alteração da morfologia ventricular (colpocefalia). Associada a síndromes genéticas.
Na imagem abaixo é possível observar comparações entre estruturas encefálicas em diferentes idades gestacionais:
- (A) Corpo caloso, giro do cíngulo e padrão de giros cerebrais normais em feto com 34 semanas de gestação.
- (B) Ausência do corpo caloso detectada em feto com 21 semanas e 1 dia.
- (C) Mesmo feto da imagem (B), evidenciando a ausência da artéria pericalosa, que normalmente acompanha o corpo caloso.
- (D) Caso de agenesia do corpo caloso em feto no terceiro trimestre, com padrão de giros cerebrais anormal.
Malformações da fossa posterior
Incluem anormalidades do cerebelo e do quarto ventrículo, como a malformação de Dandy-Walker. A translucência da fossa posterior deve ser cuidadosamente medida.
Por exemplo, o aumento do tamanho dos ventrículos cerebrais, conhecido como ventriculomegalia, é considerado um achado inespecífico que pode indicar a presença de alterações no sistema nervoso central ou em outros sistemas orgânicos.
Sistema cardiovascular
A avaliação do coração fetal no segundo trimestre exige abordagem sistemática e conhecimento anatômico detalhado. Alterações cardiovasculares estão entre as principais causas de morbimortalidade neonatal, sendo muitas vezes identificáveis na USG morfológica.
Defeitos do septo interventricular (CIV)
Entre as diversas cardiopatias congênitas identificadas na prática clínica, os defeitos do septo interventricular (CIV) destacam-se como uma das anomalias cardíacas mais comuns. Esses defeitos se caracterizam pela presença de uma comunicação anormal entre os ventrículos direito e esquerdo, comprometendo a separação adequada das câmaras cardíacas inferiores.
Essa comunicação patológica permite o fluxo sanguíneo anômalo entre os ventrículos, o que pode gerar sobrecarga volumétrica, especialmente no ventrículo direito e nos pulmões. Como consequência, é comum observar repercussões clínicas importantes, como sinais de insuficiência cardíaca congestiva, dificuldade no ganho de peso e infecções respiratórias de repetição, sobretudo nos casos com grandes shunts.
Além disso, a gravidade do quadro clínico pode variar de acordo com o tamanho do defeito e a resistência vascular pulmonar, influenciando diretamente a necessidade de intervenção cirúrgica precoce ou o acompanhamento conservador.
Saiba mais sobre defeitos septais
Transposição das grandes artérias
Visualização alterada da saída dos vasos principais requer avaliação em cortes de três vasos e três vasos-traqueia.
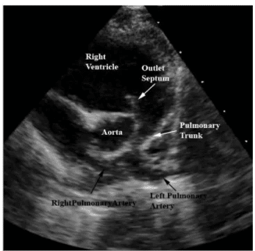
Tetralogia de Fallot
Conjunto de quatro alterações anatômicas, incluindo estenose pulmonar e aorta sobre o septo.
A imagem ecográfica a seguir representa a anatomia cardíaca observada na tetralogia de Fallot, destacando a presença de uma obstrução na via de saída do ventrículo direito (estenose pulmonar) associada a um defeito no septo interventricular.
Ultrassom morfológico do 2º trimestre: red flags do sistema digestivo
A avaliação do trato gastrointestinal fetal no segundo trimestre é essencial para o rastreio de anomalias que podem comprometer o prognóstico pós-natal. Certos achados, quando presentes, exigem investigação complementar imediata
Atresia esofágica
Indicada por ausência do estômago e polidrâmnio (excesso de líquido amniótico) . Difícil de confirmar sem associação com outras malformações.
Onfalocele e gastrosquise
Protrusão de alças intestinais na base do cordão umbilical (onfalocele) ou ao lado dele (gastrosquise).
Sistema Urinário
As anomalias do trato urinário estão entre as malformações congênitas mais comuns e podem ter implicações diretas no prognóstico perinatal. Na ultrassonografia morfológica do segundo trimestre, é fundamental avaliar os rins, ureteres, bexiga e volume do líquido amniótico.
Hidronefrose fetal
Anteroposterior do bacinete >7 mm no segundo trimestre deve ser monitorada.
Agenesia renal
Ausência de visualização dos rins e da bexiga, associada a oligoâmnio, indica prognóstico reservado.
Sistema músculo-esquelético
Dentre os principais achados na USG de 2º trimestre, pode-se citar:
Pé torto congênito
Visualização do pé fixo em posição anormal. Pode ser isolado ou fazer parte de síndromes genéticas.
Encurtamento dos ossos longos
Red flag para displasias ósseas e aneuploidias, especialmente trissomia 21.
Ultrassom morfológico do 2º trimestre: red flags que indicam risco genético ou síndromes
Certos achados ultrassonográficos, ainda que isolados, são considerados marcadores de risco para aneuploidias e síndromes genéticas:
- Espessamento da prega nucal (>6 mm)
- Higroma cístico
- Hipoplasia nasal
- Fêmur e úmero curtos
- Intestino hiperecogênico
- Cisto do plexo coróide (bilateral)
- Anomalias cardíacas associadas
A presença de múltiplos marcadores aumenta significativamente o risco e indica necessidade de aconselhamento genético e exames confirmatórios, como o teste pré-natal não invasivo (NIPT), amniocentese ou cariótipo fetal.
Conduta frente a um achado suspeito
Ao identificar um achado ultrassonográfico suspeito, o primeiro passo é confirmar a alteração com exame repetido por um especialista em medicina fetal. Em seguida, deve-se considerar:
- Encaminhamento para ecocardiografia fetal (em casos cardíacos)
- RM fetal para avaliação complementar do SNC
- Aconselhamento genético
- Discussão multiprofissional com neonatologia e obstetrícia
O papel do ultrassonografista vai além do diagnóstico técnico: ele é responsável por conduzir o caso com responsabilidade ética e suporte emocional à gestante.
Erros comuns na interpretação do ultrassom morfológico do 2º trimestre
Alguns dos equívocos mais frequentes incluem:
- Avaliação fora da janela ideal (antes de 18 semanas ou após 24 semanas)
- Ausência de plano correto para medidas cefálicas
- Confusão entre variações da normalidade e malformações (ex.: intestino hiperecogênico transitório)
- Desconsiderar o contexto clínico da gestante (idade materna, histórico gestacional)
- Omissão de achados por inexperiência técnica ou limitação do equipamento
A constante atualização e treinamento do profissional é fundamental para minimizar erros e oferecer diagnósticos acurados.
Conheça o fellowship em ultrassonografia obstétrica do Cetrus
Para médicos que desejam aprofundar-se tecnicamente e garantir domínio prático na realização do ultrassom morfológico, o Fellowship em Ultrassonografia em G.O. do Cetrus é uma das melhores formações do país. O programa oferece:
- Práticas supervisionadas com pacientes reais
- Módulos teóricos em plataforma assíncrona
- Discussões de casos reais
- Acompanhamento direto por especialistas em medicina fetal
Com turmas reduzidas e abordagem individualizada, o fellowship prepara o médico para atuar com segurança, competência e autonomia na avaliação gestacional.
Referências bibliográficas
- BRASIL. Ministério da Saúde. Protocolo de atenção pré-natal. Brasília: Ministério da Saúde, 2013.
- SIMMONS, T. L.; ADAMS, M. Prenatal diagnosis of CNS anomalies other than neural tube defects and ventriculomegaly. UpToDate. Disponível em: https://www.uptodate.com/contents/prenatal-diagnosis-of-cns-anomalies-other-than-neural-tube-defects-and-ventriculomegaly. Acesso em: 24 abr. 2025.
- ISUOG PRACTICE GUIDELINES. International Society of Ultrasound in Obstetrics and Gynecology. London: ISUOG, 2021. Disponível em: https://www.isuog.org/clinical-resources/isuog-guidelines/practice-guidelines-english.html. Acesso em: 24 abr. 2025.
- PILU, G.; NICOLAIDES, K. H. Diagnosis of fetal abnormalities: the 18-23-week scan. London: ISUOG, 2020. Disponível em: https://www.isuog.org/resource/diagnosis-of-fetal-abnormalities-the-18-23-week-scan.html. Acesso em: 24 abr. 2025.
- ROMERO, R. et al. Prenatal diagnosis of congenital anomalies. Obstetrics & Gynecology, Philadelphia, v. 134, n. 2, p. 412-429, 2019. Disponível em: https://obgyn.onlinelibrary.wiley.com/doi/10.1002/uog.20136. Acesso em: 24 abr. 2025.






